Acta Agriculturae Boreali-Sinica ›› 2026, Vol. 41 ›› Issue (1): 230-238. doi: 10.7668/hbnxb.20195936

• Animal Husbandry·Fisheries·Veterinarian • Previous Articles    

Study on the Manganese Oxidation Activity of CotA Protein of Multicopper Oxidase from Bacillus safensis

SU Chengli1, NIU Xi1, HUANG Shihui2, LI Sheng1, RAN Xueqin2, WANG Jiafu1   

  1. 1 Key Laboratory of Conservation of Mountain Plant Resources and Germplasm Innovation, Ministry of Education,Institute of Agricultural Bioengineering,College of Life Sciences,Guizhou University, Guiyang 550025,China
    2 College of Animal Science,Guizhou University,Guiyang 550025,China
  • Received:2025-03-19 Published:2026-03-10

Abstract:

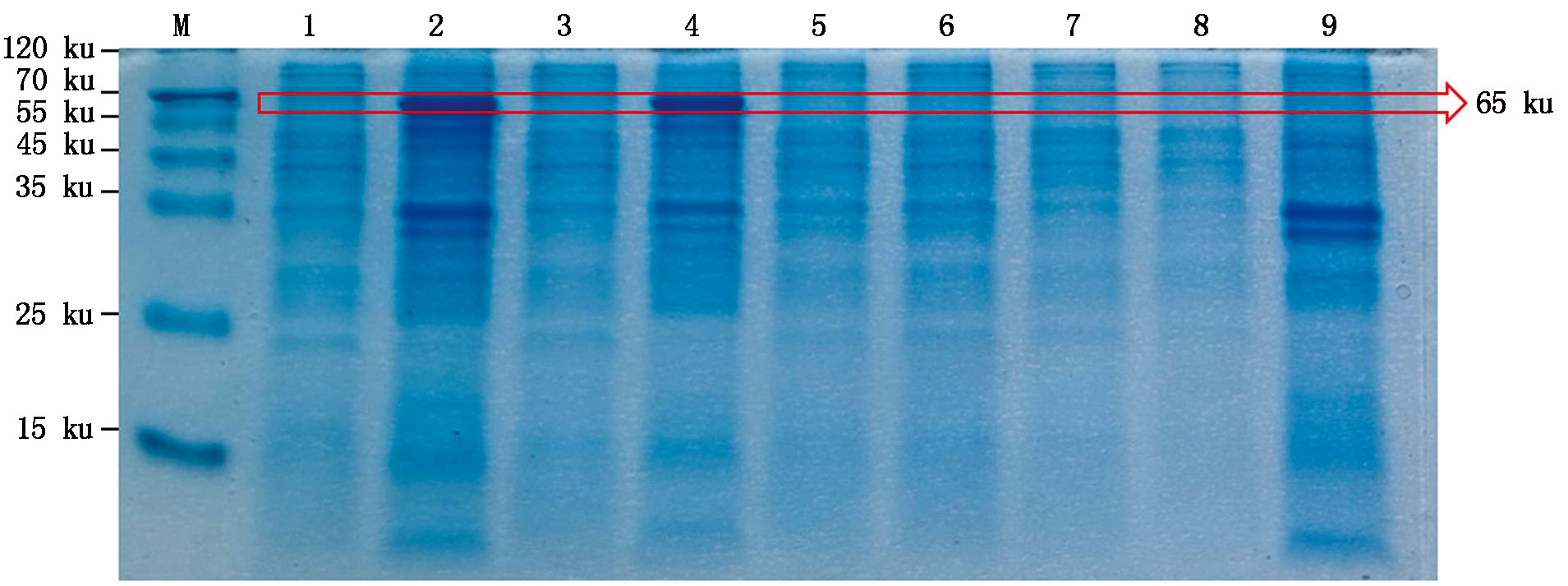
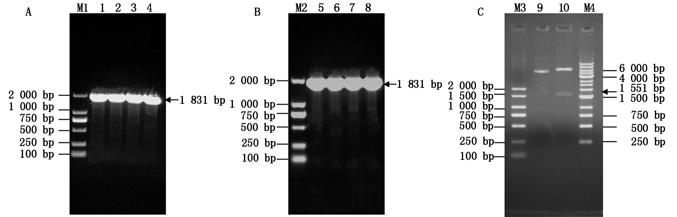
The Bacillus safensis ST7 strain has strong manganese oxidation activity,in which the expression of the multicopper oxidase protein family gene BSL056-RS03010(cotA)is significantly upregulated under manganese stress,which may be involved in Mn(Ⅱ)oxidation and make the strain have strong manganese tolerance.In order to verify the manganese oxidation ability of the cotA in B.safensis,the cotA gene was cloned and an expression vector was constructed,and then transformed to Escherichia coli for heterologous expression to study the effect of cotA gene overexpression on the manganese oxidation activity and removal rate of E.coli,so as to validate the function of the cotA gene,and to provide a technological means for constructing highly efficient manganese oxidizing strains to treat manganese pollution.Using PCR,RT-qPCR and SDS-PAGE,the cotA gene of B.safensis ST7 was cloned,ligated into the pET28a(+)expression vector,and efficiently expressed in E.coli BL21(DE3)induced by isopropyl thiogalactoside.The growth curve,manganese tolerance concentration,manganese oxidation activity and manganese removal rate of the cotA gene transformed strain were determined.The cloning and sequence analysis showed that the coding region of the cotA gene of B.safensis ST7 was 1 533 bp,encoding 510 aa with a molecular mass of about 58.8 ku.The expression of the recombinant plasmid pET28a-cotA was significantly up-regulated in E.coli BL21(DE3)cells without inhibition of the growth of the bacterium.The cotA gene was highly efficiently expressed under 0,250,1 000 mg/L manganese stress with time and concentration dependence.The manganese oxidizing activity of the recombinant strain was 0.9-fold higher than that of the control,the manganese tolerance concentration was 1.0-fold higher.The CotA protein of B.safensis has manganese oxidizing activity,and overexpression of the cotA gene can improve the oxidizing activity,tolerance and removal efficiency of Mn(Ⅱ)in E.coli cells,which is of great significance for the construction of manganese oxidizing strains with high efficient cotA gene for manganese pollution management.

Key words: Bacillus safensis, cotA gene, Gene cloning, Manganese oxidizing, Manganese pollution remediation

CLC Number: 

Cite this article

SU Chengli, NIU Xi, HUANG Shihui, LI Sheng, RAN Xueqin, WANG Jiafu. Study on the Manganese Oxidation Activity of CotA Protein of Multicopper Oxidase from Bacillus safensis[J]. Acta Agriculturae Boreali-Sinica, 2026, 41(1): 230-238. doi: 10.7668/hbnxb.20195936.

share this article