| [2] |
Sun D J, Zhang Y, Ma G J. A review of sturgeon caviar production and international trade[J]. Chinese Journal of Fisheries, 2014, 27(1):1-7.
|
| [3] |
doi: 10.3969/j.issn.1005-3832.2016.03.005
|
|
Zhang Y, Qu Q Z, Wang B, Xia Y T, Xu S J, Sun D J. Comparison of reproductive characteristics among Amur sturgeon(Acipenser schrenckii),Kaluga sturgeon (Huso dauricus♂)and their hybrid (Kaluga Sturgeon♀×Amur Sturgeon 8 )[J]. Chinese Journal of Fisheries, 2016, 29(3):25-29,34.
|
| [4] |
doi: 10.16535/j.cnki.dlhyxb.2002.03.001
|
|
He Z H, Zhao W. Biological resource in inland saline waters in North China[J]. Journal of Dalian Fisheries University, 2002, 17(3):157-166.
|
| [5] |
吴丽华, 徐赟, 王东旗, 孙国庆, 郑永利. 盐碱地黄颡鱼健康养殖技术[J]. 河南水产, 2015(3):13-14.
|
|
Wu L H, Xu Y, Wang D Q, Sun G Q, Zheng Y L. Healthy breeding technology of Pelteobagrus fulvidraco in saline areas[J]. Henan Fisheries, 2015(3):13-14.
|
| [6] |
doi: 10.3969/j.issn.1008-5394.2012.03.009
|
|
Yang G, Wang X H, Hu Y H, Tian M Y, Hu S D, Xi M D, Miao J X, Liu J L. Adaptability of Pseudobagrus ussuriensis to salinity and alkalinity[J]. Journal of Tianjin Agricultural College, 2012, 19(3):32-35.
|
| [7] |
doi: 10.6048/j.issn.1001-4330.2019.07.018
|
|
Wei Y Z, Zhang R M, Song M B, Shi C M, Adakebaike K. Studies on the tolerance of Silurus glaris Linnaeus fingerlings to salinity and alkalinity[J]. Xinjiang Agricultural Sciences, 2019, 56(7):1335-1343.
|
| [8] |
王龙涛, 葛晨霞, 高春山, 于鹏, 卢怡婷, 张蕾, 王建军, 李月红. 不同浓度盐碱胁迫对异育银鲫的慢性损伤效应[J]. 中国兽医杂志, 2019, 55(7):84-87.
|
|
Wang L T, Ge C X, Gao C S, Yu P, Lu Y T, Zhang L, Wang J J, Li Y H. Effect of different concentrations of saline-alkali stress on the chronic injury of Carassius auratus gibelio[J]. Chinese Journal of Veterinary Medicine, 2019, 55(7):84-87.
|
| [9] |
张蕾, 郭曦尧, 马世宏, 程义, 王建军, 楚冲之, 李月红. 不同浓度盐碱胁迫对异育银鲫的慢性损伤效应[J]. 中国兽医杂志, 2018, 54(12):106-109.
|
|
Zhang L, Guo X Y, Ma S H, Cheng Y, Wang J J, Chu C Z, Li Y H. The chronic injury of Hallucinogenic crucial carp with different concentrations of saline-alkali stress[J]. Chinese Journal of Veterinary Medicine, 2018, 54(12):106-109.
|
| [10] |
doi: 10.13989/j.cnki.0517-6611.2007.22.107
|
|
Lü F, Huang J T, Wang A M. Effects of alkalinity on the food consumption,growth and survival of allogynogemetic crucian carp[J]. Journal of Anhui Agricultural Sciences, 2007, 35(22):6789-6790.
|
| [11] |
doi: 10.19386/j.cnki.jxnyxb.2020.05.17
|
|
Wang X H, Jiang A L, Lin Y H, Wu X J. Effects of different salinity and alkalinity on sperm motility and fertilization rate of Chalcalburnus chalcoides aralensis[J]. Acta Agriculturae Jiangxi, 2020, 32(5):93-98.
|
| [12] |
doi: 10.16213/j.cnki.scjas.2018.2.034
|
|
Yao N, Song Y, Wang S, Chen S A, A D A, Liu J Y, Xie C X. Toxicity of salinity and alkalinity to Triplophysa(Hedinichthys)yarkandensis(Day)of tarim river[J]. Southwest China Journal of Agricultural Sciences, 2018, 31(2):423-428.
|
| [13] |
doi: 10.16441/j.cnki.hdxb.1998.03.008
|
|
Zhang Z Z, Zhang Z Q, Dong S L. Preliminary studies on the tolerance of Colossoma brachypomum fingerlings to salinity and alkalinity[J]. Journal of Ocean University of Qingdao, 1998, 28(3):54-59.
|
| [14] |
doi: 10.3969/j.issn.1002-6881.2007.12.020
|
|
Zhu S H. One of the sturgeon breeding techniques:Sturgeon breeding technology in low-lying saline ponds along the Yellow Basin[J]. China Fisheries, 2007(12):41-43.
|
| [15] |
doi: 10.15979/j.cnki.cn62-1064/s.2018.09.022
|
|
Wei Y L, Feng Z Y, Cai Y, Zhao S G. Research and application of subsurface saline water in the northwest plateau area for sturgeon hairy-eye egg cultivation[J]. Gansu Animal Husbandry and Veterinary, 2018, 48(9):64-67,69.
|
| [16] |
Sanahuja I, Fernández-Alacid L, Ordóñez-Grande B, Sánchez-Nuño S, Ramos A, Araujo R M, Ibarz A. Comparison of several non-specific skin mucus immune defences in three piscine species of aquaculture interest[J]. Fish & Shellfish Immunology, 2019, 89:428-436.doi: 10.1016/j.fsi.2019.04.008.
doi: 10.1016/j.fsi.2019.04.008
|
| [17] |
Soltanian S, Gholamhosseini A. Skin non-specific immune parameters in Palomino rainbow trout[J]. Bulgarian Journal of Veterinary Medicine, 2018, 21(3):292-300.doi: 10.15547/bjvm.1086.
doi: 10.15547/bjvm.1086
URL
|
| [18] |
doi: 10.11964/jfc.20210512856
|
|
Zhang Y M, Yang G K, Li K K, Meng X L. Research progress of mucosal microorganisms of fish[J]. Journal of Fisheries of China, 2022, 46(6):1117-1127.
|
| [19] |
doi: 10.3969/j.issn.1005-3832.2021.01.002
|
|
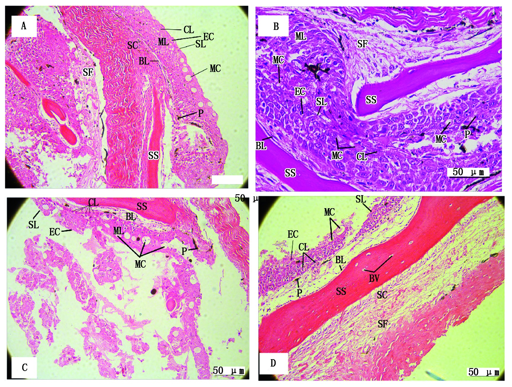
Lü W H, Ma B, Yin J S, Yang J, Gao X, Xu W, Zhang Y. Histological microscopic observation of skin in amur sturgeon(Acipenser schrenckii)[J]. Chinese Journal of Fisheries, 2021, 34(1):7-11.
|
| [20] |
doi: 10.1016/s1874-8651(10)60079-8
|
|
Huang Z H, Ma A J, Wang M. Research progression in secretion of fish skin mucous and its function[J]. Marine Sciences, 2009, 33(1):90-94.
|
| [21] |
Mehner T, Wieser W. Energetics and metabolic correlates of starvation in juvenile perch( Perca fluviatilis)[J]. Journal of Fish Biology, 1994, 45(2):325-333.doi: 10.1111/j.1095-8649.1994.tb01311.x.
doi: 10.1111/j.1095-8649.1994.tb01311.x
URL
|
| [22] |
Nan F R, Feng J, Lü J P, Liu Q, Xie S L. Transcriptome analysis of the typical freshwater rhodophytes Sheathia arcuata grown under different light intensities[J]. PLoS One, 2018, 13(5):e0197729.doi: 10.1371/journal.pone.0197729.
doi: 10.1371/journal.pone.0197729
URL
|
| [23] |
Grabherr M G, Haas B J, Yassour M, Levin J Z, Thompson D A, Amit I, Adiconis X, Fan L, Raychowdhury R, Zeng Q D, Chen Z H, Mauceli E, Hacohen N, Gnirke A, Rhind N, di Palma F, Birren B W, Nusbaum C, Lindblad-Toh K, Friedman N, Regev A. Full-length transcriptome assembly from RNA-Seq data without a reference genome[J]. Nature Biotechnology, 2011, 29(7):644-652.doi: 10.1038/nbt.1883.
doi: 10.1038/nbt.1883
pmid: 21572440
|
| [24] |
Moriya Y, Itoh M, Okuda S, Yoshizawa A C, Kanehisa M. KAAS:an automatic genome annotation and pathway reconstruction server[J]. Nucleic Acids Research, 2007, 35(2):182-185.doi: 10.1093/nar/gkm321.
doi: 10.1093/nar/gkm321
|
| [25] |
Finn R D, Tate J, Mistry J, Coggill P C, Sammut S J, Hotz H R, Ceric G, Forslund K, Eddy S R, Sonnhammer E L, Bateman A. The Pfam protein families database[J]. Nucleic Acids Research, 2008, 36(1):D281-D288.doi: 10.1093/nar/gkm960.
doi: 10.1093/nar/gkm960
URL
|
| [26] |
doi: 10.1371/journal.pcbi.1002195
URL
|
| [27] |
Götz S, García-Gómez J M, Terol J, Williams T D, Nagaraj S H, Nueda M J, Robles M, Talón M, Dopazo J, Conesa A. High-throughput functional annotation and data mining with the Blast2GO suite[J]. Nucleic Acids Research, 2008, 36(10):3420-3435.doi: 10.1093/nar/gkn176.
doi: 10.1093/nar/gkn176
pmid: 18445632
|
| [28] |
Li B, Dewey C N. RSEM:accurate transcript quantification from RNA-Seq data with or without a reference genome[J]. BMC Bioinformatics, 2011, 12:323.doi: 10.1186/1471-2105-12-323.
doi: 10.1186/1471-2105-12-323
|
| [29] |
Kanehisa M, Araki M, Goto S, Hattori M, Hirakawa M, Itoh M, Katayama T, Kawashima S, Okuda S, Tokimatsu T, Yamanishi Y. KEGG for linking genomes to life and the environment[J]. Nucleic Acids Research, 2008, 36:D480-D484.doi: 10.1093/nar/gkm882.
doi: 10.1093/nar/gkm882
pmid: 18077471
|
| [30] |
高珊, 常玉梅, 赵雪飞, 孙博, 张立民, 梁利群, 董志国. 不同NaHCO 3碱度对瓦氏雅罗鱼鳃组织结构的影响[J]. 水生生物学报, 2020, 44(4):736-743.doi: 10.7541/2020.088.
doi: 10.7541/2020.088
|
|
Gao S, Chang Y M, Zhao X F, Sun B, Zhang L M, Liang L Q, Dong Z G. The effect of different bicarbonate alkalinity on the gill structure of amur ide(Leuciscus waleckii)[J]. Acta Hydrobiologica Sinica, 2020, 44(4):736-743.
|
| [31] |
Auffray C, Hood L. Editorial:Systems biology and personalized medicine-the future is now[J]. Biotechnology Journal, 2012, 7(8):938-939.doi: 10.1002/biot.201200242.
doi: 10.1002/biot.201200242
URL
|
| [32] |
Costa V, Angelini C, De Feis I, Ciccodicola A, SantoshKumar. Uncovering the complexity of transcriptomes with RNA-SEQ[J]. Journal of Biomedicine & Biotechnology, 2010(5757): 853916.doi: 10.1155/2010/853916.
doi: 10.1155/2010/853916
|
| [33] |
宋慧. 基于转录组测序技术的大银鱼胚胎盐胁迫适应分子机理研究[D]. 太谷: 山西农业大学, 2014.
|
|
Song H. Molecular mechanism of salt stress adaptation of Pseudosciaena crocea embryos based on transcriptome sequencing technology[D]. Taigu: Shanxi Agricultural University, 2014.
|
| [34] |
刘韬, 齐明, 高阳, 刘其根. 青田田鱼幼鱼脑组织在急性低氧胁迫复氧恢复的转录组分析[J]. 上海海洋大学学报, 2023(1):79-88.
|
|
Liu T, Qi M, Gao Y, Liu Q G. Transcriptome analysis of brain tissue of juvenile Qingtian paddy field carp(Cyprinus carpio var.Qingtianensis)during acute changes in dissolved oxygen[J]. Journal of Shanghai Ocean University, 2023(1):79-88.
|
| [35] |
doi: 10.27747/d.cnki.gzjhy.2021.000075.
|
|
Shou C Y. Study on transcriptome expression of Calyx batryticatus under temperature and salinity stress[D]. Zhoushan: Zhejiang Ocean University, 2021.
|
| [36] |
doi: 10.27314/d.cnki.gsscu.2021.000143
|
|
Xu Y.. Study on the expression mechanism of calmodulin in gill, intestine and primary cells of Yarrow vachelli under alkali stress[D]. Shanghai: Shanghai Ocean University, 2021.
|
| [37] |
doi: 10.3969/j.issn.1004-3314.2004.02.015
|
|
Zhou X X, Li W F, Xu Z R. Effect of salinity on growth traits of fish and shrimp[J]. China Feed, 2004(2):30-33.
|
| [38] |
doi: 10.14012/j.cnki.fjsc.2003.04.003
|
|
Shi Q Y, Yuan C G. Study on the adaptability of Epinephelus awoara to salinity[J]. Journal of Fujian Fisheries, 2003, 25(4):9-11.
|
| [39] |
王念民, 杨合霖, 丰超杰, 吕伟华, 曹顶臣, 徐伟, 张颖. 碳酸盐碱度对3月龄杂交鲟(Husodauricus♀×Acipenserschrenckii♂)生长与血清生化指标的影响[J]. 上海海洋大学学报, 2023, 32(1):98-107.
|
|
Wang N M, Yang H L, Feng C J, Lü W H, Cao DC, Xu W, Zhang Y. Effects of different carbonate alkalinity on survival,growth and biochemical indexes in serum of three-month-old hybrid sturgeon(Huso dauricus♀×Acipenser schrenckii♂)[J]. Journal of Shanghai Ocean University, 2023, 32(1):98-107.
|
| [40] |
|
|
Guo W F, Yao Z L, Lai Q F, Shi J Q, Zhou K, Qi H F, Li Z N, Wang H. Differential gene expression of Gymnocypris przewalskii under saline-alkali stress[J]. Marine Fisheries, 2012, 34(2):137-144.
|
| [41] |
Tamás P, Hawley S A, Clarke R G, Mustard K J, Green K, Hardie D G, Cantrell D A. Regulation of the energy sensor AMP-activated protein kinase by antigen receptor and Ca 2+ in T lymphocytes[J]. The Journal of Experimental Medicine, 2006, 203(7):1665-1670.doi: 10.1084/jem.20052469.
doi: 10.1084/jem.20052469
URL
|
| [42] |
doi: 10.3760/cma.j.issn.1673-4157.2007.03.013
|
|
Jin R, Wang H F. Sarcoplasmic/endoplasmic Reticulum calcium ATPases and diabetic cardiomyopathy[J]. International Journal of Endocrinology and Metabolism, 2007, 27(3):181-183.
|
| [43] |
Stuenkel E L, Hillyard S D. Effects of temperature and salinity on gill Na +-K +-ATPase activity in the pupfish Cyprinodon salinus[J]. Comp BiochemPhysiol, 1980, 67(1):179-182.doi: 10.1016/0300-9629(80)90426-0.
doi: 10.1016/0300-9629(80)90426-0
|
| [44] |
曲元刚. NaCl和Na2CO3对盐地碱蓬和玉米胁迫效应的比较研究[D]. 济南: 山东师范大学, 2003.
|
|
Qu Y G. Comparison study on stress effects of NaCl and Na2CO3 on Suaeda salsa L.and maize[D]. Jinan: Shandong Normal University, 2003.
|
| [45] |
doi: 10.1360/SSV-2020-0041
|
|
Xia Y Y, Bin P, Zhu G Q, Ren W K. Amino acid metabolism in fate decision of porcine immune cells:Advances and beyond[J]. Scientia Sinica (Vitae), 2020, 50(9):897-913.
|
| [46] |
Kalhan S C, Hanson R W. Resurgence of serine:An often neglected but indispensable amino acid[J]. The Journal of Biological Chemistry, 2012, 287(24):19786-19791.doi: 10.1074/jbc.r112.357194.
doi: 10.1074/jbc.r112.357194
URL
|
| [47] |
Labuschagne C F, van den Broek N J F, Mackay G M, Vousden K H, Maddocks O D K. Serine,but not glycine,supports one-carbon metabolism and proliferation of cancer cells[J]. Cell Reports, 2014, 7(4):1248-1258.doi: 10.1016/j.celrep.2014.04.045.
doi: 10.1016/j.celrep.2014.04.045
pmid: 24813884
|
| [48] |
Locasale J W. Serine,glycine and one-carbon units:Cancer metabolism in full circle[J]. Nature ReviewsCancer, 2013, 13(8):572-583.doi: 10.1038/nrc3557.
doi: 10.1038/nrc3557
|
| [49] |
Li S, Guo Q, Wang Y M, Li Z Y, Kang J D, Yin X J, Zheng X. Glycine treatment enhances developmental potential of porcine oocytes and early embryos by inhibiting apoptosis[J]. Journal of Animal Science, 2018, 96(6):2427-2437.doi: 10.1093/jas/sky154.
doi: 10.1093/jas/sky154
URL
|
| [50] |
Ma E H, Bantug G, Griss T, Condotta S, Johnson R M, Samborska B, et al. Serine is an essential metabolite for effector t cell expansion[J]. Cell Metab, 2017, 25(2):345-357.doi: 10.1016/j.cmet.2016.12.011.
doi: S1550-4131(16)30644-1
pmid: 28111214
|
| [51] |
Maddocks O D, Labuschagne C F, Adams P D, Vousden K H. Serine metabolism supports the methionine cycle and DNA/RNA methylation through De Novo ATP synthesis in cancer cells[J]. Molecular Cell, 2016, 61(2):210-221.doi: 10.1016/j.molcel.2015.12.014.
doi: 10.1016/j.molcel.2015.12.014
pmid: 26774282
|
| [52] |
Rodriguez A E, Ducker G S, Billingham L K, Martinez C A, Mainolfi N, Suri V, Friedman A, Manfredi M G, Weinberg S E, Rabinowitz J D, Chandel N S. Serine metabolism supports macrophage IL-1β production[J]. Cell Metabolism, 2019, 29(4):1003-1011.e4.doi: 10.1016/j.cmet.2019.01.014.
doi: S1550-4131(19)30014-2
pmid: 30773464
|
| [53] |
doi: 10.15889/j.issn.1002-1302.2015.03.074
|
|
Zhang Q, Jiang G Z, Li B. Aquatic animals of ammonia nitrogen stress response of the transcriptome analysis is reviewed[J]. Jiangsu Agricultural Sciences, 2015, 43(3):227-230.
|
| [54] |
Kugler K G, Mueller L A J, Graber A, Dehmer M. Integrative network biology:Graph prototyping for co-expression cancer networks[J]. PLoS One, 2011, 6(7):e22843.doi: 10.1371/journal.pone.0022843.
doi: 10.1371/journal.pone.0022843
URL
|
| [55] |
谢从新. 鱼类学[M]. 北京: 中国农业出版社, 2010.
|
|
Xie C X. Ichthyology[M]. Beijing: China Agriculture Press, 2010.
|
| [56] |
doi: 10.19335/j.cnki.2096-1219.2019.28.022
|
|
Wang C X. Process in research on immune response of skin[J]. Smart Healthcare, 2019, 5(28):52-54.
|
| [57] |
韩香雨, 靳玮江, 蒋元琳, 张天祥, 张美善, 赵浩汐, 张珂欣, 刘树强, 胡德夫. 补体与凝血级联激活等通路调控麝鼠香腺周期性退化过程[J]. 基因组学与应用生物学, 2022, 41(2):257-270.doi: 10.13417/j.gab.041.000257.
doi: 10.13417/j.gab.041.000257
|
|
Han X Y, Jin W J, Jiang Y L, Zhang T X, Zhang M S, Zhao H X, Zhang K X, Liu S Q, Hu D F. Complement and coagulation cascades and other pathways regulate the process of periodic degeneration of muskrat scented glands[J]. Genomics and Applied Biology, 2022, 41(2):257-270.
|
| [58] |
Boshra H, Li J, Sunyer J O. Recent advances on the complement system of teleost fish[J]. Fish & Shellfish Immunology, 2006, 20(2):239-262.doi: 10.1016/j.fsi.2005.04.004.
doi: 10.1016/j.fsi.2005.04.004
|
| [59] |
徐永胜. 泥鳅补体C3基因的克隆与表达分析[D]. 武汉: 华中农业大学, 2018.
|
|
Xu Y S. Cloning and expression analysis of mudskipper complement C3 gene[D]. Wuhan: Huazhong Agricultural University, 2018.
|
| [60] |
Sun Y, Liu W Z, Liu T, Feng X, Yang N, Zhou H F. Signaling pathway of MAPK/ERK in cell proliferation,differentiation,migration,senescence and apoptosis[J]. Journal of Receptor and Signal Transduction Research, 2015, 35(6):600-604.doi: 10.3109/10799893.2015.1030412.
doi: 10.3109/10799893.2015.1030412
pmid: 26096166
|
| [61] |
Chen S P, Zhao L H, Sherchan P, Ding Y, Yu J, Nowrangi D, Tang J P, Xia Y, Zhang J H. Activation of melanocortin receptor 4 with RO27-3225 attenuates neuroinflammation through AMPK/JNK/p38 MAPK pathway after intracerebral hemorrhage in mice[J]. J Neuroinflammation, 2018, 15(1):106.doi: 10.1186/s12974-018-1140-6.
doi: 10.1186/s12974-018-1140-6
|
| [62] |
Ichimura K, Mizoguchi T, Yoshida R, Yuasa T, Shinozaki K. Various abiotic stresses rapidly activate Arabidopsis MAP kinases ATMPK4 and ATMPK6[J]. The Plant Journal, 2000, 24(5):655-665.doi: 10.1046/j.1365-313x.2000.00913.x.
doi: 10.1046/j.1365-313x.2000.00913.x
URL
|
| [63] |
Hirose S, Kaneko T, Naito N, Takei Y. Molecular biology of major components of chloride cells[J]. Comparative Biochemistry and Physiology Part B, Biochemistry & Molecular Biology, 2003, 136(4):593-620.doi: 10.1016/s1096-4959(03)00287-2.
doi: 10.1016/s1096-4959(03)00287-2
URL
|
| [64] |
Geven E J W, Klaren P H M. The teleost head kidney:Integrating thyroid and immune signalling[J]. Developmental and Comparative Immunology, 2017, 66(1):73-83.doi: 10.1016/j.dci.2016.06.025.
doi: 10.1016/j.dci.2016.06.025
URL
|
| [65] |
Hellio C, Pons A M, Beaupoil C, Bourgougnon N, Gal Y L. Antibacterial,antifungal and cytotoxic activities of extracts from fish epidermis and epidermal mucus[J]. International Journal of Antimicrobial Agents, 2002, 20(3):214-219.doi: 10.1016/S0924-8579(02)00172-3.
doi: 10.1016/S0924-8579(02)00172-3
URL
|
| [66] |
Fast M D, Sims D E, Burka J F, Mustafa A, Ross N W. Skin morphology and humoral non-specific defence parameters of mucus and plasma in rainbow trout,coho and Atlantic salmon[J]. Comparative Biochemistry and Physiology Part A, Molecular & Integrative Physiology, 2002, 132(3):645-657.doi: 10.1016/s1095-6433(02)00109-5.
doi: 10.1016/s1095-6433(02)00109-5
|
| [67] |
doi: 10.19663/j.issn2095-9869.20190410003.
|
|
Zhang J S, Liu Z F, Ma A J, Cui W X, Qu J B. Response of aquaporin(AQP1,AQP3)and ion channel protein(CFTR,NHE1)of turbot(Scophthalmus maximus)to low-salinity stress[J]. Progress in Fishery Sciences, 2020, 41(4):41-49.
|
| [68] |
Yang S H, Tsai J D, Kang C K, Yang W K, Kung H N, Lee T H. The ultrastructural characterization of mitochondria-rich cells as a response to variations in salinity in two types of teleostean pseudobranch:Milkfish( Chanos chanos)and Mozambique tilapia( Oreochromis mossambicus)[J]. Journal of Morphology, 2017, 278(3):390-402.doi: 10.1002/jmor.20650.
doi: 10.1002/jmor.20650
URL
|
| [69] |
Seale A P, Stagg J J, Yamaguchi Y, Breves J P, Soma S, Watanabe S, Kaneko T, Cnaani A, Harpaz S, Lerner D T, Grau E G. Effects of salinity and prolactin on gene transcript levels of ion transporters,ion pumps and prolactin receptors in Mozambique tilapia intestine[J]. General and Comparative Endocrinology, 2014, 206:146-154.doi: 10.1016/j.ygcen.2014.07.020.
doi: 10.1016/j.ygcen.2014.07.020
URL
|
| [1] |
谢忠明, 孙大江. 鲟鱼养殖技术[M]. 北京: 中国农业出版社, 2002:9.
|
|
Xie Z M, Sun D J. Acipenser culture technology[M]. Beijing: China Agriculture Press, 2002:9
|
| [2] |
doi: 10.3969/j.issn.1005-3832.2014.01.001
|
| [70] |
Tipsmark C K, Breves J P, Rabeneck D B, Trubitt R T, Lerner D T, Grau E G. Regulation of gill claudin paralogs by salinity,cortisol and prolactin in Mozambique tilapia( Oreochromis mossambicus)[J]. Comp Biochem Physiol A Mol Integr Physiol, 2016, 199:78-86.doi: 10.1016/j.cbpa.2016.05.014.
doi: 10.1016/j.cbpa.2016.05.014
URL
|
| [71] |
Tong C, Zhang C F, Zhao K, Zhang R Y. Transcriptome profiling analysis of naked carp( Gymnocypris przewalskii)provides insights into the immune-related genes in highland fish[J]. Fish & Shellfish Immunology, 2015, 46(2):366-377.doi: 10.1016/j.fsi.2015.06.025.
doi: 10.1016/j.fsi.2015.06.025
|