抗菌肽Omiganan的克隆、表达和抑菌活性

谢 昆1,2,李密杰1,蒋成砚1,鲁海菊1,孔 琼1,何 超1,沈登荣1

(1.红河学院 生命科学与技术学院,云南 蒙自 661199;2.云南省高校滇南特色生物资源研究与利用重点实验室,云南 蒙自 661199)

摘要:为获得Omiganan抗菌肽并研究其抑菌活性,根据Omiganan抗菌肽的一级结构(NH2-ILRWPWWPWRRK-COOH),通过基因工程技术,参考大肠杆菌和毕赤酵母偏爱密码子原则,分别获得Omiganan核苷酸序列,再以Omiganan核苷酸序列为模板,设计特异性引物,通过PCR技术扩增Omiganan基因,分别与pET32a表达载体和pPIC9K连接构建pET32a-Omiganan原核表达载体和pPIC9K-Omiganan毕赤酵母表达载体,对含pET32a-Omiganan重组质粒的菌株分别采用IPTG 25 ℃, IPTG 37 ℃ 2种温度和自诱导方式表达获得Omiganan重组蛋白,对含pPIC9K-Omiganan毕赤酵母菌株采用1%甲醇诱导获得Omiganan抗菌肽。结果表明,自诱导14 h后Omiganan重组蛋白的表达量最高,IPTG 25 ℃, IPTG 37 ℃ 2种温度皆能诱导Omiganan重组蛋白的表达,但两者之间无显著差异。通过毕赤酵母表达的Omiganan抗菌肽对大肠杆菌和金黄色葡萄球菌均具有很强的抑菌活性。

关键词:Omiganan;抗菌肽;克隆;表达;抑菌活性

抗菌肽又称抗微生物肽或者宿主防御肽,是自然界长期进化形成的,广泛存在于动植物及微生物等生物体内,对抗外源性病原体致病作用的一类生物活性多肽物质,是生物疾病防御与免疫系统的一个重要组成部分,是一种重要而优秀的天然抗病因子[1-3]。Omiganan是Sader等[4]于2004年人工合成的一种抗菌肽,由12个氨基酸组成,一级结构为NH2-ILRWPWWPWRRK-COOH,具有广谱的抑菌活性,能抑制金黄色葡萄球菌(S. aureus)、耐甲氧西林金黄色葡萄球菌(Meticillin-resistant S. aureus,MRSA),甲氧西林敏感表皮葡萄球菌(Meticillin-sensitive Staphylococcus Epidermidis,MSSE)、耐甲氧西林表皮葡萄球菌(Meticillinresistant S. epidermidis,MRSE)、大肠杆菌(E.coli),阴沟肠杆菌(Enterobacter cloacae)、耐万古霉素粪肠球菌(Vancomycinresistant Enterococcus faecium,VRE)、万古霉素敏感粪肠球菌(Vancomycinsensitive Enterococcus faecalis,VSE)、沙雷氏菌(Serratia marcescens)等细菌的生长,也能抑制白色念珠菌(Candida albicans)等真菌[5-6],还能与干扰素(IFN-γ)、白细胞介素-6(IL-6)、白细胞介素-10(IL-10)等协调作用治疗人类乳头瘤病毒(HPV)引起的皮肤疾病等,具有广泛的用途[7-8]。本研究根据Omiganan的氨基酸序列和大肠杆菌密码子、毕赤酵母密码子偏爱性特点,推断出Omiganan基因的核苷酸序列,然后根据该序列设计特异性引物,应用引物互补和PCR技术扩增出Omiganan基因,构建pET32a-Omiganan原核表达载体和pPIC9K-Omiganan毕赤酵母真核表达载体,将pET32a-Omiganan原核表达载体转化BL21感受态细胞,筛选奠定出阳性重组菌,通过IPTG和自诱导表达系统表达Omiganan重组蛋白,将pPIC9K-Omiganan毕赤酵母真核表达载体转化GS115感受态细胞,筛选奠定出阳性重组菌,应用GMMY培养基,通过1%甲醇诱导发酵液72 h表达Omiganan抗菌肽,将获得的抗菌肽进行大肠杆菌和金黄色葡萄球菌抑菌试验,为基因工程技术获得具有抑菌活性的抗菌肽Omiganan奠定基础。

1 材料和方法

1.1 试验试剂

质粒小量提取试剂盒、DNA胶回收试剂盒,均购自爱思进生物技术(杭州)有限公司;PrimeSTAR高保真酶、TALON®Metal Affinity Resins钴离子蛋白纯化试剂盒(货号:635501)购自宝生物工程(大连)有限公司;T4 DNA链接酶、限制性核酸内切酶,均购自赛默飞世尔科技(中国)有限公司;DL2000 DNA Marker、低分子量蛋白Marker,均购自生工生物工程(上海)股份有限公司

1.2 Omiganan基因的克隆

根据报道的Omiganan氨基酸序列(NH2-ILRWPWWPWRRK-COOH),参考大肠杆菌和毕赤酵母偏爱密码子特征,分别推导出Omiganan基因的核苷酸序列,大小36 bp。应用Primer Premier 5.0引物设计软件设计2对互补引物,以引物互为模板,PCR扩增Omiganan基因,设计的引物序列和推断的基因序列如表1,2。

表1 根据大肠杆菌偏爱密码子推断的Omiganan基因和特异性引物
Tab.1 The deduced Omiganan gene according to E. coli codons preference and designed specific primers

抗菌肽名称Antbacte rialpeptide name氨基酸序列(N-C)Amino acid sequence推断的基因序列(5′-3′)Inferred gene sequence引物(5′-3′)PrimerOmigananILRWPWWPWRRKATTCTGCGTTGGCCGTGGTGGCCGTGGCGTCGTAAAF:GCGGTACCGACGACGACGACAAGATTCTGCGTTGGCCGTGGRGGCCGRGGCGRCGTAAAR:GCAAGCTTTTATTTACGACGCCACGGCCACCACGG

注:下划线为Kpn Ⅰ/Hind Ⅲ酶切位点,斜体部分为肠激酶识别位点。

Note:The underline is the Kpn Ⅰ/Hind Ⅲ restriction site, and the italicized part is the enterokinase recognition site.

表2 根据毕赤酵母偏爱密码子推断的Omiganan基因和特异性引物
Tab.2 The deduced Omiganan gene according to Pichia pastoris codons preference and designed specific primers

抗菌肽名称Antbacte rialpeptide name氨基酸序列(N-C)Amino acid sequence推断的基因序列(5′-3′)Inferred gene sequence引物(5′-3′)PrimerOmigananILRWPWWPWRRKATTTTGAGARGGCCATGGTGGCCATGGAGAAGAAAGF:GCGAATTCATTTTGAGATGGCCATGGTGGCCR:GCGCGGCCGCTTACTTTCTTCTCCATGGCCACCATGGC

注:下划线为EcoRⅠ/Not Ⅰ酶切位点。

Note:The underline is EcoR Ⅰ/Not Ⅰ restriction site.

将2条引物混合混匀,分别加入高保真Pfu聚合酶、dNTP、10×Pfu聚合酶Buffer,PCR反应条件为:98 ℃ 10 s →(94 ℃ 10 s → 55 ℃ 5 s → 72 ℃ 5 s)×35 个循环→72 ℃ 10 min →4 ℃ 保存,利用3%琼脂糖凝胶电泳检测PCR产物,采用胶回收试剂盒纯化PCR产物。

1.3 pET32a-Omiganan表达载体的构建

分别应用KpnⅠ和Hind Ⅲ双酶切PCR产物和pET32a质粒,得到Omiganan基因片段和pET32a载体大片段,利用T4 DNA连接酶分别连接双酶切后的Omiganan和pET32a,构建pET32a-Omiganan表达载体,转化BL21感受态细胞,在含100 μg/mL氨苄青霉素的固体LB平板上挑取单菌落,置含氨苄青霉素的液体LB培养液中37 ℃摇床培养过夜,将菌液PCR鉴定为阳性的菌液于4 ℃保存。

1.4 pPIC9K-Omiganan毕赤酵母表达载体的构建

分别应用EcoR Ⅰ和NotⅠ双酶切PCR产物和pPIC9K质粒,得到Omiganan基因片段和pPIC9K载体大片段,利用T4 DNA连接酶分别连接双酶切后的Omiganan和pPIC9K,构建pPIC9K-Omiganan毕赤酵母表达载体,经过Sal Ⅰ酶线性化,电转化GS115感受态细胞,取100 μL混合物涂布于SPMD平板,28 ℃培养2~5 d,将转化的酵母经过SPMD平板筛选出His+表型菌落,从中挑取96个单菌落用96孔细胞培养板进行3次YPD液体的同步培养,然后在含有2.0 g/L G418的YPD平板上进行多拷贝筛选,最后选取长势最好的菌落进行转化子验证。

1.5 Omiganan抗菌肽的二级结构预测及抗原性分析

应用DNAStar对Omiganan抗菌肽的一级结构进行抗原性分析。

1.6 Omiganan重组抗菌肽的表达

将阳性菌液在37 ℃ 200 r/min摇床培养至OD600=0.6时,加入终浓度为0.1 mmol/L的IPTG,分别于25,37 ℃ 2种温度诱导表达重组蛋白,分别收集诱导0~6 h的菌液1 mL,将收集的菌液10 000 r/min离心1 min,弃上清,沉淀用5 ×蛋白上样缓冲液和1×PBS悬浮,总体积100 μL,SDS-PAGE电泳检测重组蛋白表达情况,分析不同表达时段重组蛋白表达产率差异。

1.7 Omiganan重组蛋白的自诱导表达

按照Studie的方法进行自诱导表达研究[9]。挑取含有重组质粒的单菌落,接种到 4 mL 含有100 μg/mL Amp 的LB 培养基中,37 ℃、220 r/min 培养过夜,再按 1%的接种量接种到10 mL 含有 100 μg/mL Amp 的 ZYM5052 培养基中, 37 ℃、220 r/min 培养过夜约14 h,收集菌液,与 IPTG 诱导的菌液进行SDS-PAGE电泳分析,比较两者重组蛋白表达产率的差异。

1.8 Omiganan重组蛋白的纯化

收集自诱导表达菌液,应用TALON®Metal Affinity Resins钴离子蛋白纯化试剂盒(货号:635501)对Omiganan重组蛋白进行纯化,具体纯化方法参考说明书。

1.9 抗菌肽Omiganan在毕赤酵母中的表达

取验证过的酵母菌株接种于BMGY培养基中,于28 ℃,200 r/min的摇床振荡培养至OD600达到2.0~6.0时,离心收集细胞,重悬于BMMY培养基中,使OD600为1.0,28 ℃继续振荡培养,每隔24 h加1次甲醇至终浓度为1%诱导抗菌肽Omiganan的表达,收集诱导72 h的表达液上清,15% SDS-PAGE检测抗菌肽Omiganan的表达,上清液于-20 ℃保存。

1.10 抗菌肽Omiganan的抑菌活性研究

分别以大肠杆菌(ATCC8739)和金黄色葡萄球菌(ATCC25923)为受试菌株,抑菌圈法检测抗菌肽Omiganan表达液上清对大肠杆菌和金黄色葡萄球菌的抑菌作用。

2 结果与分析

2.1 Omiganan基因的克隆

以引物互为模板,经过PCR扩增,获得大小约69 bp的片段(图1),与预期结果一致。

M.DL2000 DNA Marker; 1. Omiganan基因。
M.DL2000 DNA Marker; 1. The Omiganan gene.

图1 PCR扩增Omiganan基因的琼脂糖凝胶电泳
Fig.1 The agarose gel electrophoresis to detect
PCR amplification of Omiganan gene

2.2 Omiganan抗菌肽的二级结构预测及抗原性分析

用DNAStar对克隆Omiganan抗菌肽的氨基酸序列进行蛋白质二级结构预测与抗原性分析后,可以看到Omiganan抗菌肽具有1个α-螺旋,1个β-折叠,3个β-转角和2个无规则卷曲。抗原性强的氨基酸位点在9-12位,非抗原性的氨基酸位点在1-8位,亲水性强,说明Omiganan抗菌肽疏水性弱(图2)。

2.3 Omiganan抗菌肽重组蛋白的表达

含pET32a-Omiganan重组质粒的菌液经IPTG 25,37 ℃ 2种温度诱导和乳糖培养基自诱导10,12,14,16,18 h后,SDS-PAGE检测Omiganan抗菌肽重组蛋白的表达(图3-5),从图中可以看出,表达的重组蛋白大小约为18.7 ku,IPTG 25,37 ℃ 2种温度诱导的重组蛋白表达率无显著差异,以自诱导14 h重组蛋白含量最高。

图2 Omiganan抗菌肽二级结构预测与抗原性分析
Fig.2 Prediction of secondary structure and antigenicity analysis of Omiganan antimicrobial peptide

M. Protein Marker;1.含pET32a空质粒的菌液;2-7.自诱导
0,10,12,14,16,18 h重组抗菌肽Omiganan的表达。
M.Protein Marker; 1.Induced transformed bacterium carrying
pET32a empty vector; 2-7. Omiganan expression by auto-induction
for 0,10,12,14,16,18 h.

图3 SDS-PAGE电泳检测抗菌肽Omiganan
重组蛋白的自诱导表达
Fig.3 The self-induced expression of Omiganan
recombinant protein by SDS-PAGE

M. Protein Marker;1.含pET32a空质粒的菌液;2-9.IPTG,25 ℃分别诱导0,1,2,3,4,5,6,7 h重组菌株。图5同。

M. Protein Marker; 1. Induced transformed bacterium carrying pET32a empty vector; 2-9. Recombinant bacterium induced for 0,1,2,3,4,5,6 and 7 h,respectively.The same as Fig.5.

图4 SDS-PAGE电泳检测IPTG,25 ℃诱导
的Omiganan抗菌肽重组蛋白的表达
Fig.4 The detection of expressing of Omiganan recombinant
protein induced by IPTG, 25 ℃ by SDS-PAGE

2.4 Omiganan重组蛋白的纯化

收集自诱导表达14 h的菌液,经裂解后发现Omiganan重组蛋白位于上清,应用TALON® Metal Affinity Resins钴离子蛋白纯化试剂盒(货号:635501)对上清液中Omiganan重组蛋白进行纯化,结果如图6,从图中可以看出,纯化的Omiganan重组蛋白条带单一,浓度较高。

图5 SDS-PAGE电泳检测IPTG,37 ℃诱导的Omiganan
抗菌肽重组蛋白的表达
Fig.5 The detection of expressing of Omiganan recombinant
protein induced by IPTG, 37 ℃ by SDS-PAGE

M.Protein Marker;1.含pET32a空质粒的菌液;2.自诱导0 h的重组菌株;3.自诱导14 h后Omiganan重组蛋白的表达;4.自诱导14 h后Omiganan重组蛋白纯化结果。

M. Protein Marker; 1.The bacteria include pET32a empty plasmid; 2.Recombinant bacterium induced for 0 h by IPTG;3.Recombinant bacterium induced for 14 h by auto-induction; 4.The purification of recombinant antibacterial peptide Omiganan.

图6 Omiganan重组蛋白的纯化
Fig.6 The purification of recombinant
antibacterial peptide Omiganan

2.5 抗菌肽Omiganan在毕赤酵母中的表达

在含1%甲醇浓度的BMMY培养基中诱导表达抗菌肽Omiganan 72 h,菌液经12 000 r/min离心20 min,取上清液制样,1.5% SDS-PAGE检测抗菌肽Omiganan在毕赤酵母中的表达情况,结果如图7,从图中可以看出,抗菌肽Omiganan大小约为1.8 ku,与预期结果一致。

2.6 抗菌肽Omiganan的抑菌活性研究

应用抑菌圈法,检测Omiganan表达液上清分别对大肠杆菌(ATCC8739)和金黄色葡萄球菌(ATCC25923)的抑菌效果(图8),上清液体积分别为10,20,30,40,50 μL,以50 μL浓度为100 μg/mL的AMP为阳性对照,50 μL灭菌水为阴性对照,结果表明,AMP对金黄色葡萄球菌具有抑菌作用,而对大肠杆菌没有抑菌效果,Omiganan表达液上清对大肠杆菌和金黄色葡萄球菌均有抑菌作用,40 μL

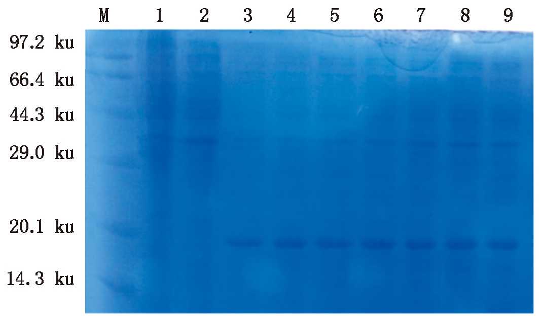
M. Protein Marker;1-9. 筛选的毕赤酵母重组子。
M. Protein Marker; 1-9. Pichia pastoris recombinant screening

图7 15% SDS-PAGE检测1%甲醇浓度诱导Omiganan
在毕赤酵母中的表达
Fig.7 The expressing of Omiganan combinant
protein detected by 15% SDS-PAGE and 1%
methanol concentration in Pichia expression system

A.Omiganan表达液上清对大肠杆菌的抑菌效果;B.Omiganan表达液上清对金黄色葡萄球菌的抑菌效果;a. 30 μmol/L AMP;10~50.每孔分别添加10,20,30,40,50 μL的Omiganan毕赤酵母表达液上清;H.H2O。

A.The antibacterial effect of Omiganan Pichia pastoris expression supernatant against E.coli; B.The antibacterial effect of Omiganan Pichia pastoris expression supernatant against S.aureus; a. 30 μmol/L AMP; 10-50. The antibacterial effect of 10, 20, 30, 40, 50 μL Omiganan Pichia pastoris expression supernatant; H.H2O.

图8 抑菌圈试验检测Omiganan表达液上清对
大肠杆菌和金黄色葡萄球菌的抑菌作用
Fig.8 Inhibition zone experiment to detect the
antibacterial effect of Omiganan expression supernatant
against E.coli and S.aureus

的发酵上清液即对大肠杆菌和金黄色葡萄球菌具有抑制作用,而金黄色葡萄球菌的抑菌作用弱于AMP。

3 讨论

抗菌肽具有抗菌、抗病毒、抗寄生虫、抗肿瘤和免疫调节等多种功能,而且抗菌肽主要是通过物理电性作用的方式破坏细菌的细胞膜,是一种物理的方式,造成结构性的损坏,细菌对这种物理破坏细胞结构的作用机制无法对抗而产生适应性和耐受性,在理论和作用机制上,抗菌肽不论在什么情况下都不会引起细菌的耐药性产生,因此,抗菌肽作为具有取代抗生素使用潜力的药物项目,已成为研究的热点[10-12]。目前的研究结果表明,抗菌肽丰富的种类、广泛的作用和优良的性能,尤其是高效的抗微生物活性,作为抗生素的替代品,具备极大的可能性。不仅如此,抗菌肽被赋予的更大期望是,在对付如肿瘤、艾滋病等人类疑难病症,可以发挥有效的作用[13-15]

文献报道Omiganan抗菌肽展现出强大的抑菌活性,不仅对细菌还是真菌都有抑菌效果。Rijsbergen等[7-8]发现在临床上局部应用Omiganan抗菌肽对肛门生殖器疣(AGW)和尺上鳞状上皮内病变(HSIL)等疾病具有明显改善作用,同时对HPV也具有良好的治疗作用,显示了Omiganan具有广泛的应用前景,特别是作为外用药在皮肤疾病的治疗中效果明显。近年来,抗菌肽在饲料添加剂、耐抗生素类耐药菌、化妆品和牙周炎等方面都有研究和应用[16-21],显示了其广泛的应用范围,对Omiganan的抑菌活性研究有助于发掘其在皮肤疾病治疗中的重要作用。

本研究根据抗菌肽Omiganan的一级结构和大肠杆菌、毕赤酵母偏爱密码子原则,分别推断Omiganan的基因序列,根据基因序列设计2对特异性引物,通过PCR技术扩增出Omiganan基因,并与pET32a原核表达载体和pPIC9K毕赤酵母表达载体连接构建pET32a-Omiganan和pPIC9K-Omiganan表达载体,对原核表达载体,采用自诱导和IPTG诱导Omiganan抗菌肽重组蛋白,结果发现自诱导和IPTG都能诱导Omiganan的表达,而以自诱导14 h后的表达率最高,诱导的Omiganan重组蛋白大小18.7 ku,包含pET32a上的一段表达序列和肠激酶识别位点,后期将应用肠激酶切割Omiganan重组蛋白,获得只含有12个氨基酸组成的Omiganan抗菌肽。对构建的pPIC9K-Omiganan毕赤酵母表达载体,点转化GS115感受态细胞后,应用1%甲醇诱导Omiganan抗菌肽的表达,发现表达的Omiganan对大肠杆菌和金黄色葡萄球菌均具有抑制作用,该研究为后续的抑菌活性研究及抗菌肽的应用奠定了基础。

参考文献:

[1] Wertz P W, de Szalay S. Innate antimicrobial defense of skin and oral mucosa[J]. Antibiotics, 2020,9(4):159. doi: 10.3390/antibiotics9040159.

[2] Di Y P. Antimicrobial peptides in host defense against drug-resistant bacterial and viral infections[J]. Curr Med Chem, 2020,27(9):1385-1386. doi: 10.2174/092986732709200327085156.

[3] Sierra J M, Fusté E, Rabanal F, Vinuesa T, Vias M. An overview of antimicrobial peptides and the latest advances in their development[J]. Expert Opin Biol Ther, 2017,17(6):663-676. doi: 10.1080/14712598.2017.1315402.

[4] Sader H S, Fedler K A, Rennie R P, Stevens S, Jones R N. Omiganan pentahydrochloride (MBI 226), a topical 12-amino-acid cationic peptide: spectrum of antimicrobial activity and measurements of bactericidal activity[J]. Antimicrob Agents and Chemother, 2004,48(8):3112-3118. doi: 10.1128/AAC.48.8.3112-3118.2004.

[5] Rubinchik E, Dugourd D, Algara T, Pasetka C, Friedland H D. Antimicrobial and antifungal activities of a novel cationic antimicrobial peptide, omiganan, in experimental skin colonisation models[J]. Int J Antimicrob Agents, 2009,34(5):457-461. doi: 10.1016/j.ijantimicag.2009.05.003.

[6] Grievink H W, Jirka S M G, Woutman T D, Schoonakker M, Rissmann R, Malone K E, Feiss G, Moerland M. Antimicrobial peptide omiganan enhances interferon responses to endosomal toll-like receptor ligands in human peripheral blood mononuclear cells[J]. Clin Transl Sci, 2020,13(5):891-895. doi: 10.1111/cts.12789.

[7] Niemeyer-van der Kolk T, Assil S, Buters T P, Rijsbergen M, Klaassen E S, Feiss G, Florencia E, Prens E P, Burggraaf J, van Doorn M B A, Rissmann R, Moerland M. Omiganan enhances imiquimod-induced inflammatory responses in skin of healthy volunteers[J]. Clin Transl Sci, 2020,13(3):573-579. doi: 10.1111/cts.12741.

[8] Rijsbergen M, Rijneveld R, Todd M, Feiss G L, Kouwenhoven S T P, Quint K D, van Alewijk D C J G, de Koning M N C, Klaassen E S, Burggraaf J, Rissmann R, van Poelgeest M I E. Results of phase 2 trials exploring the safety and efficacy of omiganan in patients with human papillomavirus-induced genital lesions[J]. Br J Clin Pharmacol, 2020,86(11):2133-2143. doi: 10.1111/bcp.14181.

[9] Studier F W. Protein production by auto-induction in high density shaking cultures[J]. Protein Expr Purif, 2005,41(1):207-234. doi: 10.1016/j.pep.2005.01.016.

[10] Sabatier J M. Antibacterial peptides[J]. Antibiotics, 2020,9(4):142.doi: 10.3390/antibiotics9040142.

[11] Kang H K, Kim C, Seo C H, Park Y. The therapeutic applications of antimicrobial peptides (AMPs):a patent review[J]. J Microbiol, 2017,55(1):1-12. doi: 10.1007/s12275-017-6452-1.

[12] Haney E F, Mansour S C, Hancock R E W. Antimicrobial peptides: An introduction[J]. Methods Mol Biol, 2017,1548:3-22. doi: 10.1007/978-1-4939-6737-7_1.

[13] Ghosh C, Haldar D J. Membrane-active small molecules: designs inspired by antimicrobial peptides[J]. Chem Med Chem, 2015,10(10):1606-1624. doi: 10.1002/cmdc.201500299.

[14] Chen C H, Lu T K. Development and challenges of antimicrobial peptides for therapeutic applications[J]. Antibiotics (Basel),2020,9(1):24-30. doi: 10.3390/antibiotics9010024.

[15] Deslouches B, Di Y P. Antimicrobial peptides with selective antitumor mechanisms: prospect for anticancer applications[J]. Oncotarget, 2017,8(28):46635-46651.doi:10.18632/oncotarget. 16743.

[16] Taniguchi M, Ochiai A, Takahashi K, Nakamichi S I, Nomoto T, Saitoh E, Kato T, Tanaka T. Antimicrobial activity against Porphyromonas gingivalis and mechanism of action of the cationic octadecapeptide AmyI-1-18 and its amino acid-substituted analogs[J]. J Biosci Bioeng, 2016,122(6):652-659. doi: 10.1016/j.jbiosc.2016.05.008.

[17] Garaicoa J L, Bates A M, Avila-Ortiz G, Brogden K A. Antimicrobial prosthetic surfaces in the oral Cavity-A perspective on creative approaches[J]. Microorganisms,2020,8(8):1247-1260. doi: 10.3390/microorganisms8081247.

[18] Luong H X, Thanh T T, Tran T H. Antimicrobial peptides-Advances in development of therapeutic applications[J]. Life Sci, 2020, 260(11):15-21. doi: 10.1016/j.lfs.2020.118407.

[19] Aguilar-Toal J E, Hernndez-Mendoza A, Gonzlez-Crdova A F, Vallejo-Cordoba B, Liceaga A M. Potential role of natural bioactive peptides for development of cosmeceutical skin products[J]. Peptides, 2019,122(12):80-91. doi: 10.1016/j.peptides.2019.170170.

[20] Abriani A, Hamad C. Activated antimicrobial peptides due to periodontal bacteria in synovial fluid-The link between psoriatic arthritis and periodontitis?[J].Med Hypotheses, 2020,144(11):109967. doi: 10.1016/j.mehy.2020.109967.

[21] Enigk K, Jentsch H, Rodloff A C, Eschrich K, Stingu C S. Activity of five antimicrobial peptides against periodontal as well as non-periodontal pathogenic strains[J]. J Oral Microbiol, 2020,12(1):11-18. doi: 10.1080/20002297.2020.1829405.

Cloning, Expressing and Antibacterial Activity of Omiganan Antimicrobial Peptide

XIE Kun1,2, LI Mijie1, JIANG Chengyan1, LU Haiju1, KONG Qiong1, HE Chao1, SHEN Dengrong1

(1.College of Life Science and Technology of Honghe University,Mengzi 661199, China;2.Key Laboratory for Research and Utilization of Characteristic Biological Resources in Southern Yunnan, Mengzi 661199, China)

Abstract In order to obtain antimicrobial peptide Omiganan and research its antibacterial activity. In this research, the nucleotide sequence of Omiganan was obtained respectively by genetic engineering technology according to E. coli and Pichia pastoris codons preference and the primary structure of Omiganan antimicrobial peptide(NH2-ILRWPWWPWRRK-COOH),following specific primers were designed to amplify Omiganan gene by PCR. And then the pET32a-Omiganan prokaryotic expression vector and pPIC9K-Omiganan Pichia pastoris expression vector were constructed, the Omiganan recombinant protein was expressed by IPTG 25 ℃ and IPTG 37 ℃ different temperature and self-induction expressing system in E.coli. The Omiganan antimicrobial peptide was expressed by 1% concentration methanol in Pichia pastoris.The results showed that the expression of Omiganan recombinant protein was the highest after induction for 14 h, while there was no significant difference between different IPTG temperature. Antibacterial experiment showed the Omiganan antimicrobial peptide Omiganan expressed by Pichia expression system had strong activity against E.coli and Staphylococcus aureus.

Key words: Omiganan; Antibacterial peptide; Cloning; Expressing;Antibacterial activity

收稿日期:2020-12-24

基金项目:国家自然科学基金项目(31760638);红河学院生物学重点建设学科资助(SZ1520)

作者简介:谢 昆(1975-), 男, 云南富民人,教授,博士,主要从事昆虫抗菌肽研究。

中图分类号:Q78

文献标识码:A

文章编号:1000-7091(2021)02-0062-06

doi:10.7668/hbnxb.20191824