血清4型禽腺病毒六邻体蛋白的原核表达及鉴定

刘 娜1,2,刘青涛1,李 银1,杨 婧1,李祥瑞2

(1.江苏省农业科学院 兽医研究所,农业部动物疫病诊断与免疫重点开放实验室,国家兽用生物制品工程技术研究中心,江苏 南京 210014; 2.南京农业大学 动物医学院,江苏 南京 210095)

摘要通过原核表达的方法得到血清4型禽腺病毒的主要结构蛋白六邻体蛋白;根据GenBank中血清4型禽腺病毒六邻体蛋白的基因序列,设计一对特异性引物,利用普通PCR方法扩增得到hexon基因的全长序列。将PCR扩增得到的血清4型禽腺病毒六邻体基因片段,在其两端插入酶切位点后克隆至载体pMD18T中,经PCR鉴定和测序分析正确后,与原核表达载体pET-32a进行连接,构建pET-32a-hexon原核表达载体,并对其进行双酶切和测序鉴定。将构建成功的表达载体转化至BL21(DE3)中,用1 mmol/L的IPTG进行诱导表达,对得到的重组蛋白进行SDS-PAGE分析和Western Blot鉴定;经双酶切鉴定和测序鉴定,pET-32a-hexon原核表达载体构建成功,插入的六邻体蛋白基因片段大小为2 814 bp,在1 mmol/L浓度IPTG诱导3 h时重组蛋白表达量最高,且重组蛋白主要以包涵体形式存在于沉淀中。SDS-PAGE分析结果显示,融合蛋白分子量为118 ku。免疫印迹分析结果显示,融合蛋白可被抗FAdV-4的血清和HIS标签抗体特异性识别;成功表达了血清4型禽腺病毒的主要结构蛋白六邻体蛋白,且得到的重组蛋白具有良好的反应原性,可用于血清4型禽腺病毒的进一步研究中,为血清4型禽腺病毒病的预防和治疗奠定了良好的基础。

关键词血清4型禽腺病毒;六邻体蛋白;原核表达

血清4型禽腺病毒(Fowl adenovirus serotype 4,FAdV-4)属于腺病毒科禽腺病毒属禽腺病毒C种[1]。FAdV-C血清4型强毒株对雏鸡的致病能力较强,可以垂直传播和水平传播。FAdV-4可致鸡发生心包积水综合征(Hydro pericardium syndrome,HPS),该病在全世界分布广泛,以心包囊中积聚透明或淡黄的液体为主要特征,发病鸡常表现为食欲不振、贫血、羽毛粗乱、鸡冠颜色变浅、嗜睡等,死亡率高达30%~90%。心包积液综合征最早发生在巴基斯坦的安卡拉地区,因此,也叫“安卡拉”病,随后墨西哥、加拿大、日本、澳大利亚等国家相继暴发了该病。1976年,我国台湾报道了该病,随后在辽宁、吉林、湖南、江苏和河南等省也相继发生该病[1-5]。目前,该病已经成为一种严重危害我国养禽业发展的传染病。

FAdV是无囊膜的双股DNA病毒,呈二十面体对称,由蛋白衣壳、核心蛋白和DNA组成。蛋白衣壳由五邻体(Peton)、六邻体(Hexon)和纤突(Fiber)3种主要的蛋白构成。六邻体含量最高,是病毒粒子中最大的蛋白,在各种腺病毒具有很高的同源性。六邻体具有群、亚群、型特异抗原决定簇,是中和抗体的靶标。因此,研究六邻体蛋白的特性和功能,将为腺病毒引起疾病的诊断与防治提供重要的理论依据[3-8]

本研究克隆并表达了FAdV-4的六邻体蛋白,利用大肠杆菌表达系统获得了重组蛋白的大量表达,通过Western Blot对其反应原性进行鉴定,旨在为进一步研究血清4型禽腺病毒和心包积水综合征的防治奠定基础。

1 材料和方法

1.1 试验材料

大肠杆菌BL21、质粒pET-32a、FAdV-4肝毒,为江苏省农业科学院禽病与生物制药研究室保存;PMD18-T、Ex-Taq聚合酶、SolutionⅠ快速连接酶、大肠杆菌DH5α、DNA限制性核酸内切酶、DNA Marker购自TaKaRa公司;引物片段由南京金斯瑞生物科技公司合成;DNA提取试剂盒、琼脂糖凝胶回收试剂盒、小量质粒提取试剂盒,购自美国Axygen公司;HIS标签抗体、碱性磷酸酯酶标记山羊抗小鼠IgG、BCIP/NBT碱性磷酸酯酶显色试剂盒,购自碧云天生物技术研究所;其他试剂均为进口分装或国产分析纯。

1.2 引物设计与合成

根据GenBank上序列号为NC-015323的腺病毒hexon基因序列,应用引物设计软件Primer 5.0 设计2段引物,引入酶切位点,上游引物(5′-TCGCGAATTCATGGCGGCCCTCACG-3′,引入EcoR Ⅰ酶切位点及保护性碱基)、下游引物(5′-CTCTAAGCTTTTACACGGCGTTGCCTG-3′,引入Hind Ⅲ 酶切位点及保护性碱基),由金斯瑞生物科技公司合成。

1.3 hexon基因的扩增与克隆

以FAdV-4肝毒提取的cDNA为模板,用Taq酶进行PCR扩增。扩增条件:94 ℃预变性5 min;94 ℃变性30 s,59 ℃ 退火30 s,72 ℃ 延伸2 min 30 s, 30个循环;72 ℃ 延伸7 min。扩增产物用1% 琼脂糖凝胶电泳鉴定,用凝胶回收试剂盒纯化PCR产物。PCR回收产物克隆至pMD-18T,转化至E.coli DH5α感受态,经PCR鉴定和测序分析获得pMD-18T-hexon重组质粒。

1.4 表达载体的构建与鉴定

将构建的pMD-18T-hexon质粒和pET-32a载体同时用EcoRⅠ和Hind Ⅲ 双酶切。双酶切后的hexon基因片段和pET-32a载体分别纯化回收,经SolutionⅠ快速连接,转化至E.coli DH5α感受态,经氨苄抗性培养基筛选,挑取阳性克隆振荡培养,提取质粒,进行双酶切鉴定,测序分析获得pET-32a-hexon重组质粒。

1.5 pET-32a-hexon融合蛋白的诱导表达鉴定

将重组质粒pET-32a-hexon转化至E.coli BL21,挑取单个菌落进行扩增,当细胞培养至OD600nm约为0.7 h,加入IPTG使其终浓度为1 mmol/L,采用不同诱导时间进行诱导表达,比较不同诱导条件的表达量,确定最佳诱导条件,同时设立pET-32a空载体的表达菌作为空白对照。最后将各时间段菌液收集离心,用PBS重悬沉淀,加入上样缓冲液,煮沸5 min,离心上样,进行SDS-PAGE电泳分析。

1.6 pET-32a-hexon融合蛋白的可溶性分析

取菌液以1∶100的体积比扩大培养,采用优化的表达条件(37 ℃,3 h)进行大量表达,表达完毕后收集菌体,用PBS重悬菌体沉淀并超声破碎,破碎完毕后,4 ℃ 12 000 r/min,离心10 min,分别收集上清和沉淀,加入上样缓冲明液,煮沸5 min,离心进行SDS-PAGE电泳鉴定。

1.7 pET-32a-hexon融合蛋白的Western Blot鉴定

融合蛋白经SDS-PAGE分离后,采用湿法将蛋白转印至硝酸纤维膜(NC膜)上,然后70 V电压作用40 min; 5%BSA,4 ℃封闭过夜,经PBST(0.05%Tween-20)洗涤后分别加入HIS标签抗体和hexon阳性血清,37 ℃孵育1 h;再以PBST(0.05%Tween-20)洗涤,加入碱性磷酸酯酶标记的山羊抗小鼠IgG,37 ℃孵育1 h,PBST(0.05% Tween-20)洗涤,按照BCIP/NBT碱性磷酸酶显色试剂盒说明进行显色处理。

2 结果与分析

2.1 重组表达质粒pET-32a-hexon双酶切鉴定及测序结果

提取重组质粒pET-32a-hexon,以EcoRⅠ和Hind Ⅲ进行双酶切,经琼脂糖凝胶电泳检测,得到与预期大小相符的2个片段(图1),其中小片段为2 800 bp左右;南京金斯瑞生物公司测序结果显示,插入片段hexon基因大小为2 814 bp,且序列正确,表明目的片段已连接到载体pET-32a上,并成功筛选出阳性菌落。

M.DL2000 DNA Marker;1.EcoRⅠ+Hind Ⅲ双酶切。 M.DL2000 DNA Marker;1. EcoR Ⅰ+Hind Ⅲ double enzyme digestion.

图1 重组表达质粒pET-32a-hexon双酶切鉴定结果
Fig.1 Double enzyme digestion of recombinant plasmid pET-32a-hexon

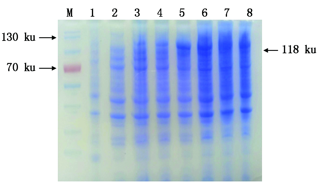
2.2 重组蛋白诱导表达与SDS-PAGE分析结果

从SDS-PAGE分析结果可看出,重组菌BL21(pET-32a-hexon)在1 mmol/L IPTG的诱导下,随着诱导时间的增加,重组蛋白表达量先增加后减少,诱导时间为3 h时,蛋白表达量最高(图2)。重组菌得到了表达,分子量大小在118 ku左右,与预期结果相符。

M.蛋白分子量Marker;1.pET-32a空载体;2-8.分别为诱导 后0,1,2,3,4,5,6 h表达的蛋白。 M.Protein Marker;1.Control of vector pET-32a;2-8.Induced pET-32a-hexon for 0,1,2,3,4,5,6 h.

图2 pET-32a-hexon 重组蛋白的SDS-PAGE检测
Fig.2 Analysis of pET-32a-hexon fusion protein by SDS-PAGE

2.3 重组蛋白在菌体中的表达形式

重组菌经1 mmol/L IPTG诱导,37 ℃诱导3 h后,收集菌体,以PBS重悬,超声裂解,进行SDS-PAGE电泳分析,结果表明,沉淀包涵体在118 ku处条带单一且明显,说明表达产物主要是以包涵体形式存在于沉淀中(图3)。

M.蛋白分子量Marker;1.pET-32a空载体;2.诱导后3 h表达的全菌蛋白;3.重组质粒诱导后的上清产物;4.重组质粒诱导后的包涵体产物。

M. Protein Marker;1.Control of vector pET-32a;2.Induced pET-32a-hexon for 3 h;3.The inclusion bodiesinduced by recombinant plasmid;4.The supernatant product induced by recombinant plasmid.

图3 pET-32a-hexon 重组蛋白的 可溶性分析SDS-PAGE检测
Fig.3 Soluble analysis of pET-32a-hexon fusion protein by SDS-PAGE

2.4 重组蛋白的Western Blot鉴定

诱导表达的重组pET-32a-hexon蛋白经SDS-PAGE电泳后,湿转至NC膜上,用HIS标签抗体蛋白、抗FAdV阳性血清和抗FAdV阴性血清分别反应,HIS标签抗体蛋白和抗FAdV阳性血清在100~130 ku处出现特异性印迹条带,抗FAdV阴性血清对照组无特异性条带(图4)。结果表明,重组蛋白pET-32a-hexon得到表达,且能够被HIS标签抗体和抗FAdV阳性血清特异性识别,具有良好的反应原性。

M.蛋白分子量Marker;1.HIS标签抗体; 2.抗FAdV阳性血清;3.抗FAdV阴性血清。 M. Protein Marker;1.HIS tag antibody; 2.Anti-FAdV positive serum; 3.Anti-FAdV negative serum.

图4 pET-32a-hexon 融合蛋白的Western Blot鉴定
Fig.4 Western Blot identification of fusion proteins pET-32a-hexon

3 讨论与结论

由FAdV-4引起的肉鸡心包积水综合征是一种高度的传染性疾病,主要发生于3~5周龄的肉鸡,病死率高达80%,感染初期,临床症状不明显,很难进行诊断,发病7 d后,死亡率突然上升,7~14 d后死亡率逐渐下降[9-14],容易与禽类其他疾病比如传染性法氏囊病、新城疫、马立克等病发生混合性感染[15-19],已经严重危害了养禽业发展,给包括我国在内的世界养禽业造成了严重的经济损失。

六邻体(Hexon)蛋白是FAdV-4的主要抗原蛋白,含有大量的抗原决定簇,包括型特异性、型间特异性及中和表位等,与FAdV-4的致病性密切相关[1-3]。六邻体蛋白是禽腺病毒被研究最广泛的结构蛋白之一,FAdV共有252个壳粒,其中六邻体就有240个,占90% 以上。hexon基因编码942个氨基酸,大小为109 ku,是主要的保护性抗原基因[20],可以刺激机体产生抗体,进而中和病毒体[21-23]

本试验采用大肠杆菌原核表达系统对FAdV-4主要结构蛋白六邻体进行表达,首先用PCR方法扩增得到hexon基因的全序列,将其克隆至表达载体pET-32a上,在原核表达系统中在1 mmol/L IPTG,37 ℃条件下诱导3 h,表达量最高,表达出大小约118 ku的六邻体重组蛋白。试验中所用的pET-32a为含氨苄抗性基因的原核高效表达载体,表达产物带有HIS标签,方便其使用商品化镍柱进行纯化。试验中选择的表达菌株为BL21(DE3),是一个广泛用于表达外源蛋白的宿主菌,尤其适合重组融合蛋白的表达。该细菌缺少细胞膜外的蛋白酶ompT基因和其他多种蛋白酶,降低了重组产物表达后被细胞降解或剪切的概率[15,24-26]。本试验所表达的六邻体重组蛋白,由SDS-PAGE结果分析可得,主要以包涵体形式存在于沉淀中,通过简单的变复性处理之后可得到高表达量、单一的目的蛋白。且通过Western Blot分析可得出,该重组融合蛋白可与HIS标签抗体蛋白和抗FAdV阳性血清发生特异性结合,在100 ku附近出现特异性印迹条带,说明表达的融合蛋白具有良好的反应原性。

本研究成功获得了FAdV-4的主要结构蛋白六邻体(hexon)蛋白,为进一步研究血清4型禽腺病毒提供了参考资料,也为今后制备抗六邻体蛋白单克隆抗体、建立FAdV-4检测方法、以及其引起的心包积水综合征(HPS)的防治奠定了良好的基础。

参考文献

[1] 罗思思,谢芝勋,邓显文,等. Ⅰ群禽腺病毒分离鉴定及hexon基因的序列分析[J]. 畜牧与兽医,2012,44(1):52-56.

[2] 邱丽叶. 禽腺病毒荧光定量PCR检测方法的建立与初步应用[D]. 哈尔滨:东北农业大学,2016.

[3] 张鸿意,曲章义,王 鹏,等. 腺病毒六邻体蛋白结构,功能及疫苗研究[J]. 国际免疫学杂,2006,29(2):126-128.

[4] 金玉霞. 腺病毒六邻体蛋白的免疫学研究进展[J]. 国际免疫学杂志,2002,25(4):172-174.

[5] 罗思思,谢芝勋,邓显文,等. Ⅰ群禽腺病毒五邻体基因的克隆及原核表达[J]. 广东农业科学,2011,38(7):154-157.

[6] Kim J N,Byun S H,Min J K,et al. Outbreaks of hydropericardium syndrome and molecular characterization of korean fowl adenoviral isolates[J]. Avian Diseases,2008,52(3):526.

[7] Domanska-Blicharz K,Tomczyk G,Smietanka K,et al. Molecular characterization of fowl adenoviruses isolated from chickens with gizzard erosions[J]. Poultry Science,2011,90(5):983-989.

[8] Niczyporuk J S,Samorek-Salamonowicz E A. Analysis of adenovirus strains isolated from poultry in Poland[J]. Bulletin of the Veterinary Institute in Pulawy,2013,57(3):305-310.

[9] Mase M,Nakamura K,Minami F. Fowl adenoviruses isolated from chickens with inclusion body hepatitis in Japan,2009-2010[J]. Journal of Veterinary Medical Science,2012,74(8):1087.

[10] Fauquet C M, Mayo M A, Maniloff J, et al. Proceedings of VIIIth report of the international committee,Virus Taxonomy, 1995[C]. Vienna: Springer, c1995.

[11] Fields B N,Knipe D M,Howley R M,et al. Proceedings of the viruses and the irreplication,Thomas Shenk Adenovirde,1996[C]. Plhiadelphia: Lippincott-Rave Publishers, c1996.

[12] 周 斌,刘华雷,曹瑞兵,等. 污染疫苗的禽腺病毒分离和鉴定[J]. 南京农业大学学报,2004,27(3):78-80.

[13] 李昕键,吴 彻,雷小亚,等. 鸡心包积液综合征病原的分离鉴定与进化分析[J]. 动物医学进展,2017,38(2):27-31.

[14] 李京帅,李银聚,张春杰,等. 禽腺病毒血清4型河南株的分离鉴定及对鸡胚致病性的研究[J]. 中国兽医科学,2018(4):1-8.

[15] 楚电峰,刘相娥,薄智勇,等.Ⅰ群禽腺病毒的流行病学和防控研究现状[J].中国动物检疫,2017,34(5):86-89.

[16] 王亚楠,韩 涛,李纯玲,等. 禽腺病毒Ⅰ群的研究现状[J]. 中国动物保健,2017,19(1):61-64.

[17] Zhao J,Zhong Q,Zhao Y,et al. Pathogenicity and complete genome characterization of fowl adenoviruses isolated from chickens associated with inclusion body hepatitisand hydropericardium syndromein China[J]. PLoS One,2015,10(7):e0133073.

[18] Schachner A,Marek A,Jaskulska B,et al. Recombinant FAdV-4 fiber-2 protein protects chickens against hepatitis-hydropericardium syndrome(HHS)[J]. Vaccine,2014,32(9):1086.

[19] Wang X L,Tang Q X,Chu Z L,et al. Immune protection efficacy of FAdV-4 surface proteins fiber-1,fiber-2,hexon and penton base[J]. Virus Research,2018,245:1-6.

[20] Pei Y L,Corredor J C,Griffin B D,et al. Fowl adenovirus 4 (FAdV-4)-Based infectious clone for vaccine vector development and viral gene function studies[J]. Viruses,2018,10(2):97.

[21] Pei Y,Corredor J C,Griffin B D,et al. Fowl adenovirus 4(FAdV-4)-Based infectious clone for vaccine vector development and viral gene function studies[J]. Viruses,2018,10(3):97.

[22] Ye J,Liang G,Zhang J,et al. Outbreaks of serotype 4 fowl adenovirus with novel genotype,China[J]. Emerging Microbes & Infections,2016,5(5):e50.

[23] Nakamura K,Mase M,Yamaguchi S,et al. Pathologic study of specific-pathogen-free chicks and hens inoculated with adenovirus isolated from hydropericardium syndrome[J]. Avian Diseases,1999,43(3):414.

[24] 赵冬敏,黄欣梅,刘宇卓,等. 鹅坦布苏病毒非结构蛋白NS1的原核表达及纯化[J]. 华北农学报,2012,27(6):11-14.

[25] 吴 萌,王安平,吴海涛. 番鸭细小病毒VP3基因的原核表达及鉴定[J]. 安徽农业科学,2017,45(35):124-127.

[26] 文艳玲. 禽腺病毒Ⅰ型hexon蛋白部分基因的原核表达及纯化[J]. 中国畜牧兽医文摘,2014,30(1):35-36.

Prokaryotic Expression and Purification of Hexon Protein of Fowl Adenovirus Serotype 4

LIU Na1,2,LIU Qingtao1,LI Yin1,YANG Jing1,LI Xiangrui2

(1.Institute of Veterinary Medicine,Jiangsu Academy of Agricultural Sciences, Key Laboratory of Veterinary Biological Engineering and Technology,Ministry of Agriculture, National Center for Engineering Research of Veterinary Bio-products,Nanjing 210014,China; 2.College of Veterinary Medicine,Nanjing Agricultural University,Nanjing 210095,China)

AbstractTo obtain the major structural protein hexon protein of serum type 4 avian adenovirus by prokaryotic expression; A pair of specific primers was designed according to the gene sequence of the hexon protein of Fowl adenovirus serotype 4 (FAdV-4) in GenBank. The full-length sequence of hexon gene was amplified by ordinary PCR. The serotype 4 avian adenovirus gene fragment obtained by PCR amplification was inserted into the vector pMD18T after inserting restriction enzyme sites at both ends of the gene. The PCR analysis and sequencing analysis showed that the gene was verified with the prokaryotic expression vector pET-32a. The constructed expression vector was transformed into BL21(DE3) and induced to express with 1 mmol/L IPTG. Analyzing the recombinant protein by SDS-PAGE and Western Blot; By the double-enzyme digestion and sequence analysis,the prokaryotic expression vector of pET-32a-hexon was successfully constructed. The size of the inserted hexon protein gene fragment was 2 814 bp. The recombinant protein expression was highest at 3 h after induction with 1 mmol/L IPTG,and the recombinant protein was mainly inclusion body forms exist in sediments. The SDS-PAGE analysis showed that the fusion protein had a molecular weight of 118 ku. Western Blot analysis showed that the fusion protein could be specifically recognized by anti-FAdV-4 serum and HIS tag antibody. This experiment successfully expressed the major structural protein hexon protein of serum type 4 avian adenovirus,and the fusion protein obtained had good reactogenicity,which could be used in the further research of serum type 4 avian adenovirus. It laid a good foundation for the prevention and treatment of serum type 4 fowl adenovirus disease.

Key words:Fowl adenovirus serotype 4(FAdV-4);Hexon protein;Prokaryotic expression

收稿日期2018-07-12

基金项目国家重点研发计划(2017YFD0500800)

作者简介刘 娜(1994-),女,山西吕梁人,在读硕士,主要从事禽腺病毒的研究。

通讯作者

李 银(1966-),男,内蒙古赤峰人,研究员,博士,主要从事家禽重要疫病病原生物学和防控技术研究。

李祥瑞(1958-),男,河南新乡人,教授,博士,主要从事家禽寄生虫病的研究。

中图分类号Q78;S432.4

文献标识码:A

文章编号:1000-7091(2018)05-0106-05

doi:10.7668/hbnxb.2018.05.015