摘要:快速高效的DNA提取是作物大规模分子育种的关键一步。旨为构建一种快速提取大白菜基因组DNA的方法,以大白菜叶片为试验材料,比较了CTAB法、二步CTAB法以及4种碱裂解法提取DNA的质量,分析了不同方法提取的DNA为模板的PCR扩增效果,还对不同方法提取的基因组DNA的保存时间和保存条件进行了比较,选择最优的方法在抗根肿病基因分子标记辅助选择中进行了应用。结果表明,CTAB法和3种碱裂解法提取的基因组DNA作为模板的PCR扩增产物,都可以通过8%的非变性聚丙烯酰胺凝胶电泳检测到清晰的条带。其中碱裂解法Ⅲ,不仅提取质量好,而且提取过程简单、快速,能够满足大白菜高通量DNA提取的需要,提取的DNA在4 ℃和-20 ℃的条件下保存,将保存至30 d的基因组DNA作为模板进行PCR扩增,产物仍然可以通过聚丙烯酰胺凝胶电泳检测到清晰的条带,说明这种方法保存时间较长,经验证,该方法在抗根肿病基因分子标记辅助选择中的应用效果也较好。碱裂解法Ⅲ显著提高了大白菜分子标记辅助筛选的效率,可广泛应用于大白菜分子标记辅助选择育种。
关键词:大白菜;基因组DNA;快速提取
植物基因组DNA的提取是重要的基础性技术,也是影响后续试验结果的关键步骤[1]。目前,常用的大白菜基因组DNA提取方法主要是CTAB法和SDS法[2],CTAB法中的CTAB能将破碎植物叶片细胞中的DNA溶解出来,再经氯仿-异戊醇抽提除去蛋白质,最后得到DNA。SDS法中的SDS在高温条件下能裂解植物细胞,使染色体离析、蛋白质变性,释放出DNA。这2种方法提取的DNA浓度高,且基因组DNA的完整性好,在植物分子育种研究上具有广泛的应用,但是其缺点也是很明显的,过程复杂,整个提取过程约3 h,效率低,无法满足快速检测的需要,而且所用到的有些试剂存在毒性,对人的身体健康会造成一定的危害[3]。随着分子标记技术在大白菜育种工作中的应用,经常需要对成千上万的大群体进行DNA提取,如果应用CTAB法或SDS法,则耗时长且工作量巨大。而分子标记辅助选择、纯度鉴定等工作中所需的DNA量不大[4],提取的DNA也不需要长时间保存。因此,寻找一种简单、快速的DNA提取方法非常必要。
碱裂解法是一种快速提取植物基因组DNA的新方法,在碱性环境中,样品的细胞膜和核膜被破坏[5],染色体DNA变性分开[5],然后加入Tris-HCl在DNA提取液中起到缓冲液的作用,使DNA去质子化,提高其溶解性[6]。这种方法提取的DNA量少、DNA保存时间短,但是操作过程简单,耗时短,能满足基本的试验需要[7]。目前文献报道的应用此种方法提取基因组DNA的有高粱[8]、水稻[9]、大豆[10]、玉米[11]、番茄[12]等,而碱裂解法在十字花科植物,如对大白菜基因组DNA提取中还未见相关的报道。本研究对碱裂解法进行了改进,并通过对几种大白菜基因组DNA提取方法的比较,在保证试验结果的可靠性和提高试验效率的基础上,旨在找到一种能够快速提取大白菜基因组DNA的方法。
供试材料为抗根肿病的大白菜亲本G57和感根肿病的大白菜亲本G70,G70和G57杂交获得F1,F1与感病亲本G70回交构建BC1群体,所有试验材料均由天津科润蔬菜研究所提供。
2016年3月将试验的种子播种到育苗盘中,正常管理,育苗培养30 d后,待幼苗长到5~6片真叶时取样,采集叶片2~3片保存于-80 ℃,用于DNA提取。
1.2.1 CTAB法[13] ①取大白菜真叶0.2~0.3 g(1 cm×1 cm)叶片加入1.5 mL离心管中,加50 μL 2%的CTAB提取缓冲液,研磨,补至400 μL,65 ℃水浴40 min,每10 min拿出轻摇一次;②加入400 μL氯仿∶异戊醇(24∶1),轻摇5 min;③12 000 r/min离心5 min;④取上清200 μL至新的1.5 mL离心管,加入预冷的异丙醇200 μL,混匀,-20 ℃放置20 min,取出离心管,12 000 r/min,离心10 min;⑤弃上清,加入150 μL预冷乙醇,上下颠倒,洗净异丙醇,12 000 r/min,离心 5 min;⑥弃上清,室温下晾干2 h;⑦加蒸馏水100 μL溶解DNA,备用。
1.2.2 二步CTAB法[14] ①取大白菜真叶0.2~0.3 g(1 cm×1 cm)叶片加入1.5 mL离心管中,加50 μL 2%的CTAB提取缓冲液,研磨,补至400 μL,65 ℃水浴40 min,每10 min拿出轻摇一次;②加入400 μL氯仿∶异戊醇(24∶1),轻摇5 min;③12 000 r/min,离心5 min;④取上清200 μL至新的离心管,备用。
1.2.3 碱裂解法Ⅰ ①取大白菜真叶0.2~0.3 g(1 cm×1 cm)叶片加入1.5 mL离心管中;②加100 μL 0.4 mol/L NaOH,研磨;③沸水浴1 min后,10 000 r/min,离心1 min;④取上清液10 μL至新的1.5 mL离心管,再加300 μL 0.1 mol/L Tris-HCl(pH值 8.0),混匀备用。
1.2.4 碱裂解法Ⅱ 共4步,其中步骤③,离心管10 000 r/min,离心1 min,其他3步同碱裂解法Ⅰ。
1.2.5 碱裂解法Ⅲ 共4步,其中步骤③中,不进行沸水浴和离心过程,其他3步同碱裂解法Ⅰ。
1.2.6 碱裂解法Ⅳ ①取大白菜真叶0.2~0.3 g(1 cm×1 cm)叶片加入1.5 mL离心管中;②加入200 μL 0.4 mol/L NaOH,研磨;③沸水浴1 min,直接作为PCR的模板,备用。以上每种方法重复3次。
1%琼脂糖凝胶电泳检测DNA的提取质量(电泳缓冲液为1×TAE),GelRed染色,在凝胶成像仪上成像、观察。
取不同方法获得的DNA样本2 μL进行PCR扩增。
1.4.1 引物 分别为Bra019317、Bra019348、Bra019235-2和Bra019345-2。SSR标记为本项目开发的与本抗源抗根肿病基因连锁的分子标记,引物由华大基因公司合成。
1.4.2 PCR反应体系 20 μL,包括模板DNA 2 μL,Forward primer(10 μmol/L)1 μL,Reverse primer(10 μmol/L)1 μL,dNTPs(2.5 mmol/L each)2 μL,10×Buffer 2 μL,Taq酶(2.5 U/μL)0.2 μL,ddH2O补足20 μL。
1.4.3 PCR 反应程序 94 ℃预变性5 min;94 ℃变性30 s,55 ℃退火30 s,72 ℃延伸30 s,35 个循环;72 ℃延伸5 min。
2%的琼脂糖凝胶电泳检测PCR产物的质量(电泳缓冲液为1×TAE),GelRed染色,在凝胶成像仪上成像、观察。8%非变性聚丙烯酰胺凝胶电泳检测条带多态性。
将提取到的DNA分别保存于4 ℃和-20 ℃下,并分别于第1,10,30,45,60天对基因组DNA进行PCR扩增,利用8%非变性聚丙烯酰胺凝胶电泳检测条带的清晰度,判断每种方法提取到DNA的保存时间和最佳的保存条件。
选择最优的碱裂解法快速提取G57、G70、F1及BC1群体的DNA,用与抗根肿病基因连锁的标记Bra019345-2,对含抗病基因的单株进行筛选,以检验该方法在分子标记辅助选择中的应用效果。
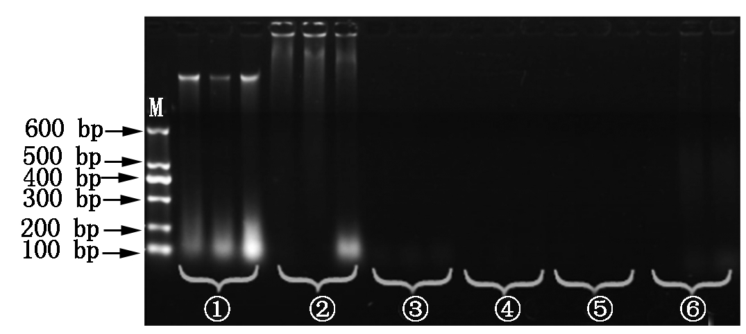
将CTAB法、二步CTAB法和4种碱裂解法提取的基因组DNA进行琼脂糖凝胶电泳。由图1可知,只有CTAB法提取的DNA显示出特异性的电泳条带,其他5种方法未见到特异性的电泳条带,说明CTAB法提取基因组DNA的浓度高、质量好,其他方法提取的DNA可能浓度偏低。

M.DNA MarkerⅠ;①~⑥.提取DNA的CTAB法、二步CTAB法、碱裂解法Ⅰ、碱裂解法Ⅱ、碱裂解法Ⅲ、碱裂解法Ⅳ。图2-4同。
M.DNA MarkerⅠ;①-⑥.DNA from CTAB method,two-step CTAB method,alkaline lysis methodⅠ,alkaline lysis methodⅡ,alkaline lysis method Ⅲ,alkaline lysis method Ⅳ.The same as Fig.2-4.
图1 不同方法获得基因组DNA的琼脂糖凝胶电泳检测结果
Fig.1 The test results of agarose gel electrophoresis detection of genomic DNA obtained by different methods
分别以这6种方法提取的基因组DNA为模板,使用引物Bra019317和Bra019348进行PCR扩增,2%的琼脂糖凝胶电泳检测。
结果表明,二步CTAB法和碱裂解法Ⅳ提取的DNA为模板扩增不出特异性条带,而CTAB法和碱裂解法Ⅰ、Ⅱ和Ⅲ可以扩增出特异性条带,且条带清晰、明亮。说明CTAB法和碱裂解法Ⅰ、Ⅱ、Ⅲ提取的基因组DNA能够满足PCR反应的需要(图2)。

A.引物Bra019317;B.引物Bra019348。
A.The primer Bra019317;B.The primer Bra019348.
图2 不同方法提取的DNA为模板的PCR扩增产物的琼脂糖凝胶电泳检测结果
Fig.2 The test results of different methods of extracting DNA as template PCR amplification products of agarose gel electrophoresis
为了进一步验证几种方法的准确性,利用8%的非变性聚丙烯酰胺凝胶电泳对PCR扩增产物进行检测。由图3可知,8%的非变性聚丙烯酰胺凝胶电泳检测和琼脂糖凝胶电泳检测结果一致,CTAB法和碱裂解法Ⅰ、Ⅱ、Ⅲ都可以看到清晰的条带,完全能够满足PCR扩增的需要(图3)。

图3 8%非变性聚丙烯酰胺凝胶电泳检测结果
Fig.3 The test results of 8% non-denaturing polyacrylamide gel electrophoresis
为了判断几种方法提取DNA的保存时间,以及保存温度对DNA保存时间的影响,第1 天时,把试验中6种方法提取到的DNA先用引物Bra019235-2进行PCR,然后对PCR产物进行聚丙烯酰胺凝胶电泳检测。再把6种方法提取到的DNA分别置于4 ℃和-20 ℃的条件下保存,分别于第10,30,45,60天对DNA用引物进行PCR,对PCR产物进行聚丙烯酰胺凝胶电泳检测,观察记录条带情况。结果如图4所示。
对试验结果进行分析可知,碱裂解法Ⅰ、Ⅱ和Ⅲ提取到的DNA在30 d检测时,4 ℃和-20 ℃条件下保存的效果都比较好,30~45 d碱裂解法Ⅰ、Ⅱ和Ⅲ提取到的DNA在4 ℃条件下开始有明显的降解,-20 ℃条件下的保存效果比4 ℃较好,但是DNA也略有降解,第60天检测时,2种保存条件下,碱裂解法Ⅰ、Ⅱ和Ⅲ提取到的DNA进行PCR,再进行聚丙烯酰胺凝胶电泳检测,已经检测不到条带。对CTAB法、碱裂解法Ⅰ、Ⅱ和Ⅲ提取DNA的保存时间进行比较,CTAB法提取的DNA保存时间最长,碱裂解法Ⅰ、Ⅱ和Ⅲ提取的DNA在30 d内PCR扩增的产物,可以通过聚丙烯酰胺凝胶电泳检测到清晰的特异性条带,并可满足进一步试验的需要。

图A、B,C、D,E、F,G、H和I.第1,10,30,45,60天检测;图B、D、F、H.4 ℃保存;图C、E、G、I.-20 ℃保存。
Fig.A,B and C,D and E,F and G,H and I.Test in 1 day,10 days,30 days,45 days,60 days;
Fig.B,D,F,H.4 ℃ preservation;Fig.C,E,G,I.-20 ℃ preservation.
图4 8%非变性聚丙烯酰胺凝胶电泳检测结果
Fig.4 The test results of 8% non-denaturing polyacrylamide gel electrophoresis
通过试验发现,碱裂解法Ⅲ不仅效率高,提取的DNA也能满足试验的需要。结合碱裂解法Ⅲ进行F1群体和BC1群体的基因型鉴定,鉴定F1群体的杂交率及分子标记辅助选择BC1群体中含抗病基因的单株。碱裂解法Ⅲ提取抗、感大白菜亲本、74株F1群体和74株BC1群体植株的基因组DNA,用与抗根肿病基因连锁的标记Bra019345-2进行PCR,聚丙烯酰胺凝胶电泳检测,所有的F1群体和BC1群体植株都检测到了清晰的条带(图5,6)。74株F1群体植株均表现为杂合条带;74株BC1群体植株中有33株表现为感病条带,41株表现为杂合抗病条带。说明碱裂解法Ⅲ完全能够满足大群体纯度鉴定及分子标记辅助选择中对基因组DNA质量的要求。

R.抗病;S.感病。图6同。
R.Resistant;S.Susceptible.The same as Fig.6.
图5 F1群体的8%非变性聚丙烯酰胺凝胶电泳检测结果(1~74)
Fig.5 The test results of F1 population of 8% non-denaturing polyacrylamide gel electrophoresis(1-74)

图6 BC1群体的8%非变性聚丙烯酰胺凝胶电泳检测结果(1~74)
Fig.6 The test results of BC1 population of 8% non-denaturing polyacrylamide gel electrophoresis(1-74)
本试验发现,以CTAB法和碱裂解法Ⅰ、Ⅱ、Ⅲ制备的基因组DNA作为模板的PCR扩增产物,都可以被检测到清晰的条带,而二步CTAB法和碱裂解法Ⅳ制备的基因组DNA作为模板的PCR扩增产物检测不到条带。CTAB法的提取时间较长,提取成本也较高[15]。相比较而言,能检测到条带的3种碱裂解法耗时短,操作简单,方便快速,实用性强,结合组织研磨仪可以高通量操作[16],而且成本低,只用到NaOH和Tris-HCl 2种常规试剂,试验方法大大的简化。尤其是碱裂解法Ⅲ,不需要沸水浴和离心,操作更为简便,效率最高,检测结果也好[17],是值得推荐的方法。
相比较碱裂解法Ⅳ,加了Tris-HCl的碱裂解法Ⅰ、Ⅱ和Ⅲ制备的DNA作为模板,PCR扩增产物可以检测到清晰的条带,说明使用碱裂解法提取大白菜基因组DNA时,Tris-HCl是必需的[18]。二步CTAB法成本低,耗时短,有文献报道这种方法提取的玉米基因组DNA通过琼脂糖凝胶电泳检测,DNA的完整性较好[14],但是在本试验中提取的大白菜基因组DNA通过琼脂糖凝胶电泳检测,没有检测到特异性条带,这可能和试验材料的不同有关。碱裂解法Ⅲ提取的基因组DNA在保存至30 d时,将基因组DNA作为模板的PCR扩增产物还能通过聚丙烯酰胺凝胶电泳检测到清晰的条带,说明这种方法保存时间较长,可以应用于大规模样本的分子标记筛选。
分子标记辅助选择育种,试验的对象都是一个大的群体[19-21]。传统的CTAB法提取基因组DNA的步骤繁琐,本试验寻找到的碱裂解法Ⅲ操作过程简单,耗时短,且保存时间较长,可以满足大白菜大批量快速检测的需要。
参考文献:
[1] 张晓祥, 王 玲, 寿路路. 一种快速提取小麦基因组DNA的改良CTAB方法[J]. 中国农学通报, 2012, 28(36): 46-49.
[2] 孟淑春, 张海英, 郑晓鹰, 等. 大白菜基因组DNA的提取及AFLP反应体系的建立[J]. 农业科学与技术:英文版, 2009, 10(3): 29-35.
[3] 吴则东, 王华忠, 倪洪涛. 不同碱裂解法快速提取甜菜大群体DNA的研究[J]. 中国糖料, 2013(3): 32-34.
[4] 陈平华, 王恒波, 许莉萍, 等. 碱裂解叶片两步快速制备PCR模板技术研究[J]. 热带作物学报, 2010, 31(3): 422-429.
[5] 郑 琪, 蒋 超, 黄璐琦, 等. 碱裂解法快速提取中药炒制品DNA的研究[J]. 中国中药杂志, 2014, 39(19): 3678-3683.
[6] 荣俊冬, 张迎辉, 郑志雷, 等. 不同提取缓冲液对三尖杉DNA提取质量的影响[J]. 广东林业科技, 2013, 29(5): 22-25.
[7] Wang H, Qi M, Cutler A J. A simple method of preparing plant samples for PCR[J]. Nucleic Acids Research, 1993, 21(17): 4153-4154.
[8] 郑 卓, 李 健, 圣忠华, 等. 高梁总DNA不同提取方法的比较[J]. 安徽农业科学, 2007, 35(36):11758-11759.
[9] 田 洁, 罗 科. 水稻总DNA的快速制备[J]. 应用与环境生物学报, 2004, 10(2): 143-145.
[10] 张 伟, 谢甫绨, 曹 萍, 等. 大豆叶片DNA提取方法的比较研究[J]. 大豆科学, 2007, 26(1): 60-65.
[11] 郭景伦, 赵久然, 王凤格. 适用于SSR分子标记的玉米单粒种子DNA快速提取新方法[J]. 玉米科学, 2005, 13(2): 16-17, 25.
[12] 孙利萍, 贾芝琪, 胡建斌, 等. 碱裂解法快速提取番茄DNA的研究[J]. 河南农业大学学报, 2012, 46(2): 136-138.
[13] 汤文开, 谭 新, 张 辉, 等. 一种快速简单高效提取植物DNA的方法[J]. 华中师范大学学报:自然科学版, 2007, 41(3): 447-449.
[14] 戴 军, 汪 海, 朱 莉, 等. 1种适用于转基因玉米PCR检测的DNA快速提取方法[J]. 安徽农业科学, 2014(12): 3494-3496.
[15] 梁玉琴, 李芳东, 傅建敏, 等. 柿属植物基因组DNA提取方法比较[J]. 中南林业科技大学学报, 2012, 32(4): 170-173.
[16] 李 委, 戴祖云, 夏伟伟, 等. 一种快速提取南瓜大群体基因组DNA的方法[J]. 中国蔬菜, 2017(9): 36-40.
[17] 王 希, 陈 丽, 赵春雷, 等. 不同方法对甜菜叶片基因组DNA提取效果比较与适用性探讨[J]. 中国糖料, 2015, 37(5): 3-6.
[18] Knox R E, Depauw R M, Clarke J M. A simple DNA preparation method for PCR amplifications in Marker-Assisted selection of wheat[J]. Journal of Integrative Agriculture, 2005, 4(7): 481-485.
[19] Bcy C, Das A, Virk P S, et al. Evaluation of 'quick and dirty' DNA extraction methods for marker-assisted selection in rice (Oryza sativa L.)[J]. Plant Breeding, 2010, 126(1): 47-50.
[20] 周 晶, 曾庆涛, 刘铨义, 等. 一种适用于棉花种子的DNA快速提取方法[J]. 作物杂志, 2014(2): 31-33.
[21] 苏成付. 分子标记辅助选择育种发展策略[J]. 安徽农业科学, 2014(15): 4591-4592, 4598.
Abstract:Rapid and efficient DNA extraction is the key step in large-scale molecular breeding of crop. To construct a method for rapid extraction of genomic DNA from Chinese cabbage, the Chinese cabbage leaves were used as experimental materials, the quality of DNA extracted by the CTAB method, two-step CTAB method and four alkaline lysis methods was compared, the PCR amplification effects of DNA extracted by different methods were analyzed, and the preservation time and preservation conditions of genomic DNA extracted by different methods were compared, the optimal method was selected for the application of molecular marker-assisted selection against clubroot disease.The results showed that genomic DNA extracted by the CTAB and three kinds of alkaline lysis methods could be used as a template for PCR, and the PCR amplification products could be detected by 8% non-denaturing polyacrylamide gel electrophoresis to clear bands. Among them, the alkaline lysis method Ⅲ, not only the extraction quality was good and the extraction process was simple and fast, but also it could meet the needs of high-throughput DNA extraction of Chinese cabbage, the extracted DNA was stored at 4 ℃ and -20 ℃, and the genomic DNA stored for 30 days was used as a template for PCR amplification, the products was still detected by polyacrylamide gel electrophoresis to clear bands, it illustrates that this method has a long preservation time and it has been proved that this method has a good effect on the application of molecular marker-assisted selection against clubroot disease. Alkaline lysis methodⅢhas significantly improved the efficiency of Chinese cabbage molecular marker-assisted selection, and can be widely used in Chinese cabbage molecular marker-assisted selection breeding.
Key words:Chinese cabbage; Genomic DNA; Rapid extraction
收稿日期:2017-07-18
基金项目:国家重点研发计划项目(2017YFD0101801);天津市自然科学基金项目(16JCYBJC29300);国家重点研发计划项目(2016YFD0101701);天津市现代农业产业技术体系创新团队建设专项计划(ITTVRS2017003);国家大宗蔬菜产业技术体系(CARS-25-G-02);天津市科技计划项目(16PTSYJC00260)
中图分类号:S634.1
文献标识码:A
文章编号:1000-7091(2017)06-0067-06
doi:10.7668/hbnxb.2017.06.010